别名:alpha tubulin 2; B alpha 1; H2 alpha; Hum a tub 1; TUBA1; TUBA1A; Tubulin alpha 1chain应用:WB,IHC
反应种属:Human,Rat,Mouse
规格:50μl/100μl
| Description |
|---|
| TUBA1A Tubulin is the major constituent of microtubules. It binds two moles of GTP, one at an exchangeable site on the beta chain and one at a non-exchangeable site on the alpha-chain. |
| Specification | |
|---|---|
| Aliases | alpha tubulin 2; B alpha 1; H2 alpha; Hum a tub 1; TUBA1; TUBA1A; Tubulin alpha 1chain |
| Entrez GeneID | 10376 |
| Swissprot | P68363 |
| clone | 6A12 |
| WB Predicted band size | Calculated MW: 50 kDa; Observed MW: 50 kDa |
| Host/Isotype | Mouse IgG1 |
| Storage | Store at 4°C short term. Aliquot and store at -20°C long term. Avoid freeze/thaw cycles. |
| Species Reactivity | Human,Rat,Mouse |
| Immunogen | Synthetic peptide conjugated to KLH. |
| Formulation | Liquid in PBS containing 50% glycerol, 0.5% BSA and 0.02% sodium azide, pH 7.3. |
| Application | |
|---|---|
| WB | 1/500-1/1000 |
| IHC | 1/50-1/100 |
![]() |
Western blot analysis of Acetyl-α-Tubulin (Lys40) in rat spleen, Raw246.7 lysates using Acetyl-α-Tubulin (Lys40) antibody. |
![]() |
Western blot analysis of AcetylAlpha Tubulin (Lys40) in 293, C6 lysates using Acetyl-α-Tubulin (Lys40) antibody. |
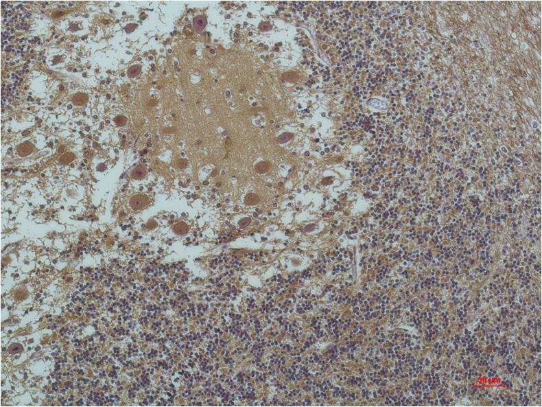
![]() |
Immunohistochemistry analysis of paraffin-embedded Human Brain Tissue usinga-tubulin(Acetyl Lys4) antibody. High-pressure and temperature Sodium Citrate pH 6.0 was used for antigen retrieval. |
本公司的所有产品仅用于科学研究或者工业应用等非医疗目的,不可用于人类或动物的临床诊断或治疗,非药用,非食用。
暂无评论
本公司的所有产品仅用于科学研究或者工业应用等非医疗目的,不可用于人类或动物的临床诊断或治疗,非药用,非食用。
中文



发表回复