别名:H3K9ac; H3/j; H3C1; H3C2; H3C3; H3C4; H3C6; H3C7; H3C8; H3FJ; H3C10; H3C11; HIST1H3J应用:IHC
反应种属:Human,Rat,Mouse
规格:50μl/100μl
| Description |
|---|
| H3 Core component of nucleosome. Nucleosomes wrap and compact DNA into chromatin, limiting DNA accessibility to the cellular machineries which require DNA as a template. Histones thereby play a central role in transcription regulation, DNA repair, DNA replication and chromosomal stability. |
| Specification | |
|---|---|
| Aliases | H3K9ac; H3/j; H3C1; H3C2; H3C3; H3C4; H3C6; H3C7; H3C8; H3FJ; H3C10; H3C11; HIST1H3J |
| Entrez GeneID | 8350 |
| Swissprot | P68431 |
| clone | 5H4 |
| Host/Isotype | Mouse IgG1 |
| Storage | Store at 4°C short term. Aliquot and store at -20°C long term. Avoid freeze/thaw cycles. |
| Species Reactivity | Human,Rat,Mouse |
| Immunogen | Synthetic peptide conjugated to KLH. |
| Formulation | Liquid in PBS containing 50% glycerol, 0.5% BSA and 0.02% sodium azide, pH 7.3. |
| Application | |
|---|---|
| IHC | 1/50-1/100 |
![]() |
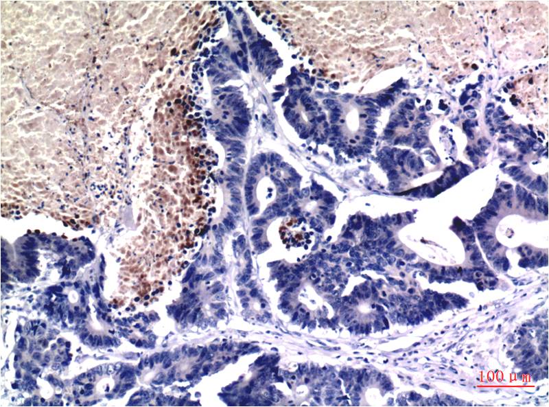
Immunohistochemistry analysis of paraffin-embedded Human Breast Carcinoma Tissue using Acetyl-Histone H3 (Lys9) antibody.High-pressure and temperature Sodium Citrate pH 6.0 was used for antigen retrieval. |
![]() |
Immunohistochemical analysis of paraffin-embedded Human tonsils using Acetyl-Histone H3 (Lys9) antibody.High-pressure and temperature Sodium Citrate pH 6.0 was used for antigen retrieval. |
本公司的所有产品仅用于科学研究或者工业应用等非医疗目的,不可用于人类或动物的临床诊断或治疗,非药用,非食用。
暂无评论
本公司的所有产品仅用于科学研究或者工业应用等非医疗目的,不可用于人类或动物的临床诊断或治疗,非药用,非食用。
中文


发表回复