别名:应用:WB,IHC
反应种属:
规格:50μl/100μl
| Specification | |
|---|---|
| Storage | Store at 4°C short term. Aliquot and store at -20°C long term. Avoid freeze/thaw cycles. |
| Immunogen | Purified Protein |
| Formulation | PBS, pH 7.4, containing 0.02% sodium azide as Preservative and 50% Glycerol. |
| Application | |
|---|---|
| WB | 1/1000-1/2000 |
| IHC | 1/200-500 |
![]() |
Western blot analysis of 1) Mouse Brain Tissue, 2) Hela, 3) Hela+TSA Treated using Acetyl Lysine Monoclonal Antibody. |
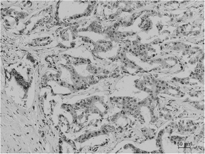
![]() |
Immunohistochemical analysis of paraffin-embedded Human Breast Carcinoma using Acetyl Lysine Monoclonal Antibody. |
本公司的所有产品仅用于科学研究或者工业应用等非医疗目的,不可用于人类或动物的临床诊断或治疗,非药用,非食用。
暂无评论
本公司的所有产品仅用于科学研究或者工业应用等非医疗目的,不可用于人类或动物的临床诊断或治疗,非药用,非食用。
中文


发表回复