别名:Cellular tumor antigen p53; Cys 51 stop; Tp53; Tumor protein p53应用:IHC
反应种属:Human,Rat,Mouse
规格:50μl/100μl
| Description |
|---|
| Tumor protein p53, a nuclear protein, plays an essential role in the regulation of cell cycle, specifically in the transition from G0 to G1. It is found in very low levels in normal cells, however, in a variety of transformed cell lines, it is expressed in high amounts, and believed to contribute to transformation and malignancy. p53 is a DNA-binding protein containing DNA-binding, oligomerization and transcription activation domains. |
| Specification | |
|---|---|
| Aliases | Cellular tumor antigen p53; Cys 51 stop; Tp53; Tumor protein p53 |
| Entrez GeneID | 7157 |
| Swissprot | P04637 |
| clone | 8G7 |
| Host/Isotype | Mouse IgG1 |
| Storage | Store at 4°C short term. Aliquot and store at -20°C long term. Avoid freeze/thaw cycles. |
| Species Reactivity | Human,Rat,Mouse |
| Immunogen | Synthetic peptide conjugated to KLH. |
| Formulation | Liquid in PBS containing 50% glycerol, 0.5% BSA and 0.02% sodium azide, pH 7.3. |
| Application | |
|---|---|
| IHC | 1/50-1/100 |
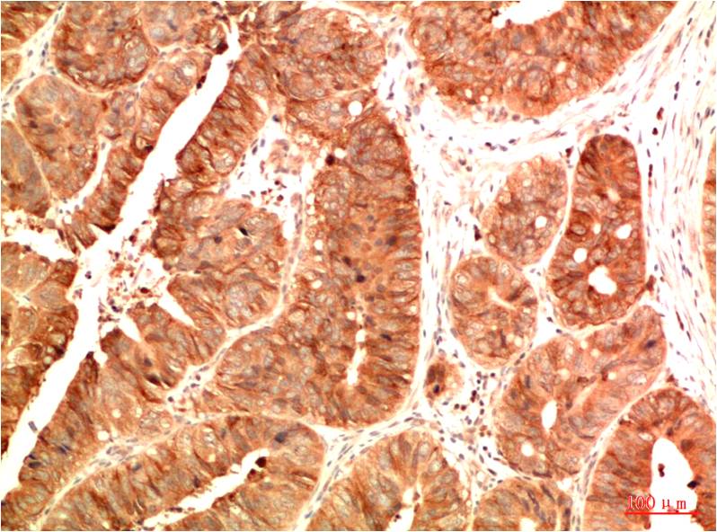
![]() |
Immunohistochemistry analysis of paraffin-embedded Human Breast Carcinoma Tissue using Acetyl-p53 (Lys382) antibody.High-pressure and temperature Sodium Citrate pH 6.0 was used for antigen retrieval. |
![]() |
Immunohistochemical analysis of paraffin-embedded Human tonsils using Acetyl-p53 (Lys382) antibody.High-pressure and temperature Sodium Citrate pH 6.0 was used for antigen retrieval. |
本公司的所有产品仅用于科学研究或者工业应用等非医疗目的,不可用于人类或动物的临床诊断或治疗,非药用,非食用。
暂无评论
本公司的所有产品仅用于科学研究或者工业应用等非医疗目的,不可用于人类或动物的临床诊断或治疗,非药用,非食用。
中文


发表回复