别名:Lactose synthase B protein; Alpha-lactalbumin; Lactalbumin alpha; MGC138521应用:WB,IHC,ICC
反应种属:Human
规格:50μl/100μl
| Description |
|---|
| Regulatory subunit of lactose synthase, changes the substrate specificity of galactosyltransferase in the mammary gland making glucose a good acceptor substrate for this enzyme. This enables LS to synthesize lactose, the major carbohydrate component of milk. In other tissues, galactosyltransferase transfers galactose onto the N-acetylglucosamine of the oligosaccharide chains in glycoproteins. |
| Specification | |
|---|---|
| Aliases | Lactose synthase B protein; Alpha-lactalbumin; Lactalbumin alpha; MGC138521 |
| Entrez GeneID | 3906 |
| Swissprot | P00709 |
| clone | 5A3 |
| WB Predicted band size | Calculated MW: 16 kDa; Observed MW: 16 kDa |
| Host/Isotype | Mouse IgG1 |
| Storage | Store at 4°C short term. Aliquot and store at -20°C long term. Avoid freeze/thaw cycles. |
| Species Reactivity | Human |
| Immunogen | Synthetic Peptide of alpha Lactalbumin |
| Formulation | Liquid in PBS containing 50% glycerol, 0.5% BSA and 0.02% sodium azide, pH 7.3. |
| Application | |
|---|---|
| WB | 1/500-1/1000 |
| IHC | 1/50-1/100 |
| ICC | 1/50-1/200 |
![]() |
Western blot analysis of alpha Lactalbumin in Human Milk, Milk, lysates using alpha Lactalbumin antibody |
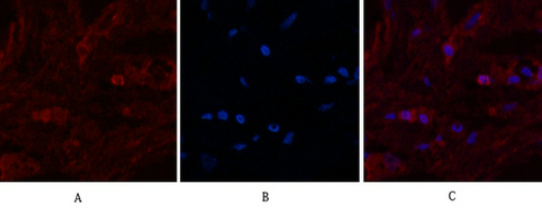
![]() |
Immunofluorescence analysis of alpha Lactalbumin in Human breast tissue using alpha Lactalbumin antibody(red),and DAPI (blue). |
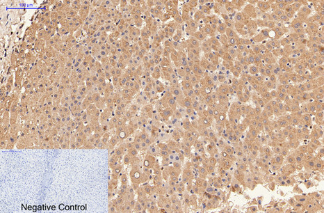
![]() |
Immunohistochemistry analysis of paraffin-embedded Human liver tissue using alpha Lactalbumin antibody.High-pressure and temperature Sodium Citrate pH 6.0 was used for antigen retrieval.Negative control was used by secondary antibody only. |
本公司的所有产品仅用于科学研究或者工业应用等非医疗目的,不可用于人类或动物的临床诊断或治疗,非药用,非食用。
暂无评论
本公司的所有产品仅用于科学研究或者工业应用等非医疗目的,不可用于人类或动物的临床诊断或治疗,非药用,非食用。
中文



发表回复