别名:ACTA1; ACTA; Actin; alpha skeletal muscle; Alpha-actin-1应用:WB,IHC,ICC,IP
反应种属:Human,Mouse,Rat
规格:50μl/100μl
| Description |
|---|
| Actins are highly conserved proteins that are involved in various types of cell motility and are ubiquitously expressed in all eukaryotic cells. |
| Specification | |
|---|---|
| Aliases | ACTA1; ACTA; Actin; alpha skeletal muscle; Alpha-actin-1 |
| Entrez GeneID | 58 |
| Swissprot | P68133 |
| clone | 2A5 |
| WB Predicted band size | Calculated MW: 42 kDa; Observed MW: 42 kDa |
| Host/Isotype | Mouse IgG |
| Storage | Store at 4°C short term. Aliquot and store at -20°C long term. Avoid freeze/thaw cycles. |
| Species Reactivity | Human,Mouse,Rat |
| Immunogen | Synthetic Peptide of α skeletal muscle actin |
| Formulation | Liquid in PBS containing 50% glycerol, 0.5% BSA and 0.02% sodium azide, pH 7.3. |
| Application | |
|---|---|
| IP | 1/20 |
| WB | 1/500-1/1000 |
| IHC | 1/50-1/100 |
| ICC | 1/50-1/200 |
![]() |
Western blot analysis of alpha Skeletal Muscle Actin in T47D, 3T3, COS7, C6 and Hela lysates using alpha Skeletal Muscle Actin antibody |
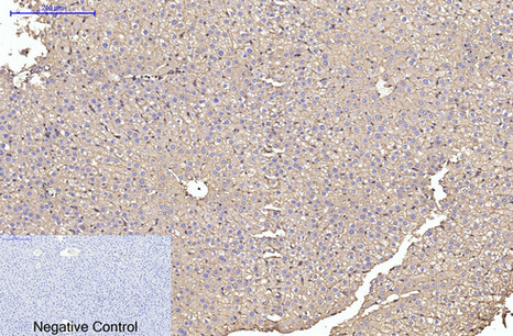
![]() |
Immunohistochemistry analysis of paraffin-embedded rat liver tissue using alpha Skeletal Muscle Actin antibody.High-pressure and temperature Sodium Citrate pH 6.0 was used for antigen retrieval.Negative control was used by secondary antibody only. |
本公司的所有产品仅用于科学研究或者工业应用等非医疗目的,不可用于人类或动物的临床诊断或治疗,非药用,非食用。
暂无评论
本公司的所有产品仅用于科学研究或者工业应用等非医疗目的,不可用于人类或动物的临床诊断或治疗,非药用,非食用。
中文


发表回复