别名:ACTA2; ACTSA; ACTVS; GIG46; Actin; aortic smooth muscle; Alpha-actin-2; Cell growth-inhibiting gene 46 protein; α-SMA应用:WB,IHC,ICC
反应种属:Human,Mouse,Rat
规格:50μl/100μl
| Description |
|---|
| Involved in the interaction of plaque proteins and intermediate filaments mediating cell-cell adhesion. Defects in ACTA2 are the cause of aortic aneurysm familial thoracic type 6 (AAT6) [MIM:611788]. They are primarily associated with a characteristic histologic appearance known as ‘medial necrosis’ or ‘Erdheim cystic medial necrosis’ in which there is degeneration and fragmentation of elastic fibers, loss of smooth muscle cells, and an accumulation of basophilic ground substance. |
| Specification | |
|---|---|
| Aliases | ACTA2; ACTSA; ACTVS; GIG46; Actin; aortic smooth muscle; Alpha-actin-2; Cell growth-inhibiting gene 46 protein; α-SMA |
| Entrez GeneID | 59 |
| Swissprot | P62736 |
| clone | 1D10 |
| WB Predicted band size | Calculated MW: 42 kDa; Observed MW: 42 kDa |
| Host/Isotype | Mouse IgG1 |
| Storage | Store at 4°C short term. Aliquot and store at -20°C long term. Avoid freeze/thaw cycles. |
| Species Reactivity | Human,Mouse,Rat |
| Immunogen | Synthetic Peptide of α-SMA |
| Formulation | Liquid in PBS containing 50% glycerol, 0.5% BSA and 0.02% sodium azide, pH 7.3. |
| Application | |
|---|---|
| WB | 1/500-1/1000 |
| IHC | 1/50-1/100 |
| ICC | 1/50-1/200 |
![]() |
Western blot analysis of alpha Smooth Muscle Actin in αSmooth Muscle Actin in rat Brain, MCF-7, C6 and 3T3 lysates using alpha Smooth Muscle Actin antibody |
![]() |
Western blot analysis of alpha Smooth Muscle Actin in Hela, A549, HL6, U2OS, C6 lysates using alpha Smooth Muscle Actin antibody |
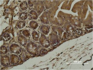
![]() |
Immunohistochemistry analysis of paraffin-embedded mouse Cecal Tissue using alpha Smooth Muscle Actin antibody.High-pressure and temperature Sodium Citrate pH 6.0 was used for antigen retrieval. |
本公司的所有产品仅用于科学研究或者工业应用等非医疗目的,不可用于人类或动物的临床诊断或治疗,非药用,非食用。
暂无评论
本公司的所有产品仅用于科学研究或者工业应用等非医疗目的,不可用于人类或动物的临床诊断或治疗,非药用,非食用。
中文



发表回复