别名:APG 5L; APG5; APG5 autophagy 5 like; APG5 like; APG5-like; Apoptosis specific protein; ASP; ATG 5; ATG5 autophagy related 5 homolog; Autophagy protein 5; hAPG5应用:WB,IHC
反应种属:Human,Rat,Mouse
规格:50μl/100μl
| Description |
|---|
| Required for autophagy. Conjugates to ATG12 and associates with isolation membrane to form cup-shaped isolation membrane and autophagosome. Involved in mitochondrial quality control after oxidative damage, and in subsequent cellular longevity. |
| Specification | |
|---|---|
| Aliases | APG 5L; APG5; APG5 autophagy 5 like; APG5 like; APG5-like; Apoptosis specific protein; ASP; ATG 5; ATG5 autophagy related 5 homolog; Autophagy protein 5; hAPG5 |
| Entrez GeneID | 9474 |
| Swissprot | Q9H1Y0 |
| clone | 3C5 |
| WB Predicted band size | Calculated MW: 32 kDa; Observed MW: 55 kDa |
| Host/Isotype | Mouse IgG1 |
| Storage | Store at 4°C short term. Aliquot and store at -20°C long term. Avoid freeze/thaw cycles. |
| Species Reactivity | Human,Rat,Mouse |
| Immunogen | Purified recombinant protein expressed in E.coli. |
| Formulation | Liquid in PBS containing 50% glycerol, 0.5% BSA and 0.02% sodium azide, pH 7.3. |
| Application | |
|---|---|
| WB | 1/500-1/1000 |
| IHC | 1/50-1/100 |
![]() |
Western blot analysis of APG5L in C2C12, K562, C6, mouse brain lysates using APG5L antibody |
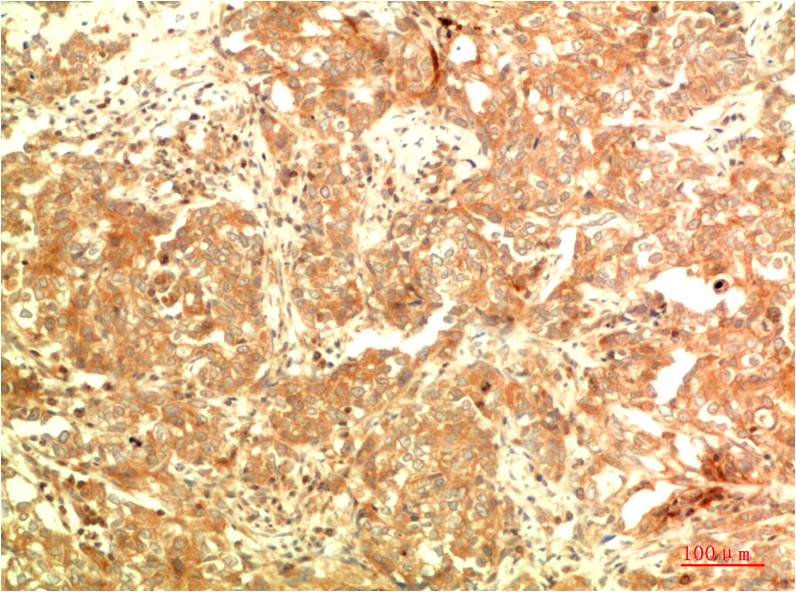
![]() |
Immunohistochemistry analysis of paraffin-embedded Human Ovarian Carcinoma Tissue using APG5L antibody.High-pressure and temperature Sodium Citrate pH 6.0 was used for antigen retrieval. |
![]() |
Immunohistochemical analysis of paraffin-embedded Human tonsils using APG5L antibody.High-pressure and temperature Sodium Citrate pH 6.0 was used for antigen retrieval. |
本公司的所有产品仅用于科学研究或者工业应用等非医疗目的,不可用于人类或动物的临床诊断或治疗,非药用,非食用。
暂无评论
本公司的所有产品仅用于科学研究或者工业应用等非医疗目的,不可用于人类或动物的临床诊断或治疗,非药用,非食用。
中文



发表回复