别名:Bardet-Biedl syndrome 4 protein, BBS4应用:WB,IHC
反应种属:Human, Mouse, Rat
规格:50μl/100μl
| Description |
|---|
| The BBSome complex is thought to function as a coat complex required for sorting of specific membrane proteins to the primary cilia. The BBSome complex is required for ciliogenesis but is dispensable for centriolar satellite function. This ciliogenic function is mediated in part by the Rab8 GDP/GTP exchange factor, which localizes to the basal body and contacts the BBSome. Rab8(GTP) enters the primary cilium and promotes extension of the ciliary membrane. Firstly the BBSome associates with the ciliary membrane and binds to RAB3IP/Rabin8, the guanosyl exchange factor (GEF) for Rab8 and then the Rab8-GTP localizes to the cilium and promotes docking and fusion of carrier vesicles to the base of the ciliary membrane. The BBSome complex, together with the LTZL1, controls SMO ciliary trafficking and contributes to the sonic hedgehog (SHH) pathway regulation. Required for proper BBSome complex assembly and its ciliary localization. Required for microtubule anchoring at the centrosome but not for microtubule nucleation. May be required for the dynein-mediated transport of pericentriolar proteins to the centrosome. |
| Specification | |
|---|---|
| Aliases | Bardet-Biedl syndrome 4 protein, BBS4 |
| Entrez GeneID | 585 |
| Swissprot | Q96RK4 |
| WB Predicted band size | 58.3kDa |
| Host/Isotype | Mouse IgG1 |
| Storage | Store at 4°C short term. Aliquot and store at -20°C long term. Avoid freeze/thaw cycles. |
| Species Reactivity | Human, Mouse, Rat |
| Immunogen | This BBS4 antibody is generated from a mice immunized with a recombinant protein between 1-240 amino acids from human BBS4. |
| Formulation | Purified monoclonal antibody supplied in PBS with 0.05% sodium azide. This antibody is purified through a protein G column, eluted with high and low pH buffers and neutralized immediately, followed by dialysis against PBS. |
| Application | |
|---|---|
| WB | 1/1000 |
| IHC | 1/250 |
![]() |
Western blot analysis of lysates from Hela, U251 cell line, mouse heart and kidney, rat heart and kidney tissue (from left to right), using BBS4 Antibody (Cat. #P32560). P32560 was diluted at 1:1000 at each lane. A goat anti-mouse IgG H&L(HRP) at 1:3000 dilution was used as the secondary antibody. Lysates at 35μg per lane. |
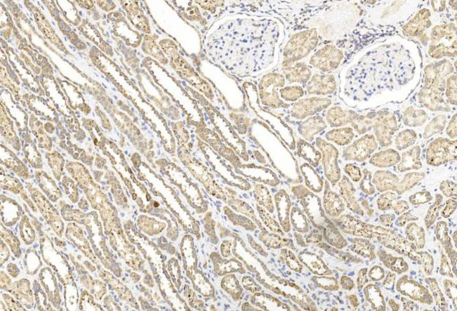
![]() |
Immunohistochemical analysis of paraffin-embedded Human kidney section using BBS4 (Cat#am2250b). am2250b was diluted at 1:250 dilution. A undiluted biotinylated goat polyvalent antibody was used as the secondary, followed by DAB staining. |
本公司的所有产品仅用于科学研究或者工业应用等非医疗目的,不可用于人类或动物的临床诊断或治疗,非药用,非食用。
暂无评论
本公司的所有产品仅用于科学研究或者工业应用等非医疗目的,不可用于人类或动物的临床诊断或治疗,非药用,非食用。
中文


发表回复