别名:MME; EPN; Neprilysin; Atriopeptidase; Common acute lymphocytic leukemia antigen; CALLA; Enkephalinase; Neutral endopeptidase 24.11; NEP; Neutral endopeptidase; Skin fibroblast elastase; SFE; CD10应用:IHC
反应种属:Human,Rat,Mouse
规格:50μl/100μl
| Description |
|---|
| CD10 is a transmembrane type II molecule and functions as a metallo-peptidase requiring zinc. Specifically, CD10 cleaves 1-3 amino-terminal amino acids from peptides with a preference for neutral amino acids (valine, iso-leucine, phenylalanine, leucine or alanine). Involved in the degradation of atrial natriuretic factor (ANF). Displays UV-inducible elastase activity toward skin preelastic and elastic fibers. |
| Specification | |
|---|---|
| Aliases | MME; EPN; Neprilysin; Atriopeptidase; Common acute lymphocytic leukemia antigen; CALLA; Enkephalinase; Neutral endopeptidase 24.11; NEP; Neutral endopeptidase; Skin fibroblast elastase; SFE; CD10 |
| Entrez GeneID | 4311 |
| Swissprot | P08473 |
| clone | 6F7 |
| Host/Isotype | Mouse IgG1 |
| Storage | Store at 4°C short term. Aliquot and store at -20°C long term. Avoid freeze/thaw cycles. |
| Species Reactivity | Human,Rat,Mouse |
| Immunogen | Synthetic peptide conjugated to KLH. |
| Formulation | Liquid in PBS containing 50% glycerol, 0.5% BSA and 0.02% sodium azide, pH 7.3. |
| Application | |
|---|---|
| IHC | 1/50-1/100 |
![]() |
Immunofluorescence analysis of CD10 in Human uterus tissue using CD10 antibody(red),and DAPI (blue). |
![]() |
Immunofluorescence analysis of CD10 in rat kidney using CD10 antibody(red),and DAPI (blue). |
![]() |
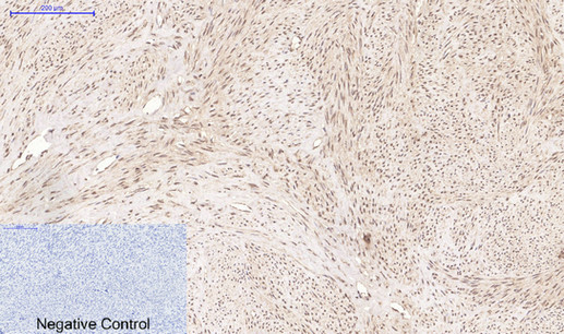
Immunohistochemistry analysis of paraffin-embedded Human uterus tissue using CD10 antibody. High-pressure and temperature Sodium Citrate pH 6.0 was used for antigen retrieval. Negative control was used by secondary antibody only. |
![]() |
Immunohistochemistry analysis of paraffin-embedded mouse lung tissue using CD10 antibody.High-pressure and temperature Sodium Citrate pH 6.0 was used for antigen retrieval.Negative control was used by secondary antibody only. |
![]() |
Immunohistochemistry analysis of paraffin-embedded Human breast cancer using CD10 antibody.High-pressure and temperature Sodium Citrate pH 6.0 was used for antigen retrieval.v |
![]() |
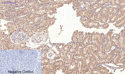
Immunohistochemistry analysis of paraffin-embedded rat kidney tissue using CD10 antibody.High-pressure and temperature Sodium Citrate pH 6.0 was used for antigen retrieval. Negative control was used by secondary antibody only. |
本公司的所有产品仅用于科学研究或者工业应用等非医疗目的,不可用于人类或动物的临床诊断或治疗,非药用,非食用。
暂无评论
本公司的所有产品仅用于科学研究或者工业应用等非医疗目的,不可用于人类或动物的临床诊断或治疗,非药用,非食用。
中文






发表回复