别名:FUT4; ELFT; FCT3A; Alpha-(1; 3)-fucosyltransferase; ELAM-1 ligand fucosyltransferase; Fucosyltransferase 4; Fucosyltransferase IV; Fuc-TIV; FucT-IV; Galactoside 3-L-fucosyltransferase应用:IHC,ICC
反应种属:Human
规格:50μl/100μl
| Description |
|---|
| The product of this gene transfers fucose to N-acetyllactosamine polysaccharides to generate fucosylated carbohydrate structures. It catalyzes the synthesis of the non-sialylated antigen, Lewis x (CD15). |
| Specification | |
|---|---|
| Aliases | FUT4; ELFT; FCT3A; Alpha-(1; 3)-fucosyltransferase; ELAM-1 ligand fucosyltransferase; Fucosyltransferase 4; Fucosyltransferase IV; Fuc-TIV; FucT-IV; Galactoside 3-L-fucosyltransferase |
| Entrez GeneID | 2526 |
| Swissprot | P22083 |
| clone | 8D5 |
| Host/Isotype | Mouse IgG1 |
| Storage | Store at 4°C short term. Aliquot and store at -20°C long term. Avoid freeze/thaw cycles. |
| Species Reactivity | Human |
| Immunogen | Synthetic Peptide of CD15 |
| Formulation | Liquid in PBS containing 50% glycerol, 0.5% BSA and 0.02% sodium azide, pH 7.3. |
| Application | |
|---|---|
| IHC | 1/50-1/100 |
| ICC | 1/50-1/200 |
![]() |
Immunofluorescence analysis of CD15 in Human livercancer tissue using CD15 antibody(red),and DAPI (blue). |
![]() |
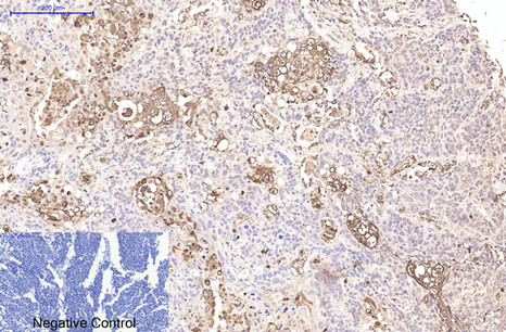
Immunohistochemistry analysis of paraffin-embedded Human lung cancer tissue using CD15 antibody.High-pressure and temperature Sodium Citrate pH 6.0 was used for antigen retrieval.Negative control was used by secondary antibody only. |
![]() |
Immunohistochemistry analysis of paraffin-embedded rat Brain Tissue using CD 15 antibody. High-pressure and temperature Sodium Citrate pH 6.0 was used for antigen retrieval. |
![]() |
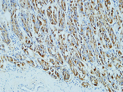
Immunohistochemistry analysis of paraffin-embedded Human stomach using CD15 antibody.High-pressure and temperature Tris-EDTA pH 8.0 was used for antigen retrieval. |
![]() |
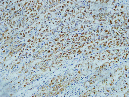
Immunohistochemistry analysis of paraffin-embedded Human stomach using CD15 antibody.High-pressure and temperature Tris-EDTA pH 8.0 was used for antigen retrieval. |
![]() |
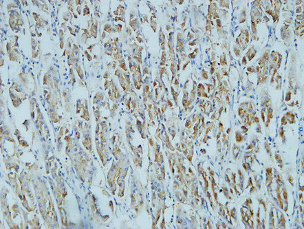
Immunohistochemistry analysis of paraffin-embedded Human stomach using CD15 antibody.High-pressure and temperature Tris-EDTA pH 8.0 was used for antigen retrieval. |
本公司的所有产品仅用于科学研究或者工业应用等非医疗目的,不可用于人类或动物的临床诊断或治疗,非药用,非食用。
暂无评论
本公司的所有产品仅用于科学研究或者工业应用等非医疗目的,不可用于人类或动物的临床诊断或治疗,非药用,非食用。
中文






发表回复