别名:CD1A; T-cell surface glycoprotein CD1a; T-cell surface antigen T6/Leu-6; hTa1 thymocyte antigen; CD antigen CD1a应用:IHC
反应种属:Human,Rat,Mouse
规格:50μl/100μl
| Description |
|---|
| Antigen-presenting protein that binds self and non-self lipid and glycolipid antigens and presents them to T-cell receptors on natural killer T-cells. |
| Specification | |
|---|---|
| Aliases | CD1A; T-cell surface glycoprotein CD1a; T-cell surface antigen T6/Leu-6; hTa1 thymocyte antigen; CD antigen CD1a |
| Entrez GeneID | 909 |
| Swissprot | P06126 |
| clone | 7D4 |
| Host/Isotype | Mouse IgG1 |
| Storage | Store at 4°C short term. Aliquot and store at -20°C long term. Avoid freeze/thaw cycles. |
| Species Reactivity | Human,Rat,Mouse |
| Immunogen | Synthetic peptide conjugated to KLH. |
| Formulation | Liquid in PBS containing 50% glycerol, 0.5% BSA and 0.02% sodium azide, pH 7.3. |
| Application | |
|---|---|
| IHC | 1/50-1/100 |
![]() |
Immunofluorescence analysis of CD1a in mouse heart tissue using CD1a antibody(9H6)(red),and DAPI (blue). |
![]() |
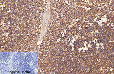
Immunohistochemistry analysis of paraffin-embedded Human Tonsil tissue using CD1a antibody.High-pressure and temperature Sodium Citrate pH 6.0 was used for antigen retrieval.Negative control was used by secondary antibody only. |
![]() |
Immunohistochemical analysis of paraffin-embedded Human tonsils using CD1a antibody.High-pressure and temperature Sodium Citrate pH 6.0 was used for antigen retrieval.Negative control was used by secondary antibody only. |
![]() |
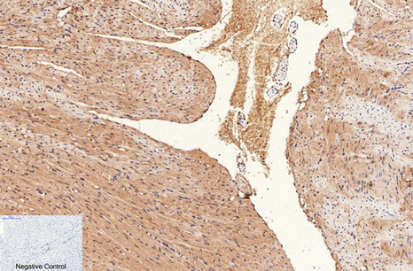
Immunohistochemistry analysis of paraffin-embedded mouse heart tissue using CD1a antibody. High-pressure and temperature Sodium Citrate pH 6.0 was used for antigen retrieval. Negative control was used by secondary antibody only. |
![]() |
Immunohistochemistry analysis of paraffin-embedded Human tonsils using CD1a antibody.High-pressure and temperature Sodium Citrate pH 6.0 was used for antigen retrieval. |
本公司的所有产品仅用于科学研究或者工业应用等非医疗目的,不可用于人类或动物的临床诊断或治疗,非药用,非食用。
暂无评论
本公司的所有产品仅用于科学研究或者工业应用等非医疗目的,不可用于人类或动物的临床诊断或治疗,非药用,非食用。
中文





发表回复