别名:CR2; C3DR; Complement receptor type 2; Cr2; Complement C3d receptor; Epstein-Barr virus receptor; EBV receptor; CD21应用:IHC,ICC
反应种属:Human,Mouse,Rat
规格:50μl/100μl
| Description |
|---|
| Receptor for complement C3Dd, for the Epstein-Barr virus on human B-cells and T-cells and for HNRPU. Participates in B lymphocytes activation. (Microbial infection) Acts as a receptor for Epstein-Barr virus. |
| Specification | |
|---|---|
| Aliases | CR2; C3DR; Complement receptor type 2; Cr2; Complement C3d receptor; Epstein-Barr virus receptor; EBV receptor; CD21 |
| Entrez GeneID | 1380 |
| Swissprot | P20023 |
| clone | 4A2 |
| Host/Isotype | Mouse IgG1 |
| Storage | Store at 4°C short term. Aliquot and store at -20°C long term. Avoid freeze/thaw cycles. |
| Species Reactivity | Human,Mouse,Rat |
| Immunogen | Synthetic Peptide of CD21 |
| Formulation | Liquid in PBS containing 50% glycerol, 0.5% BSA and 0.02% sodium azide, pH 7.3. |
| Application | |
|---|---|
| IHC | 1/50-1/100 |
| ICC | 1/50-1/200 |
![]() |
Immunofluorescence analysis of CD21 in mouse liver tissue using CD21 antibody(2C5)(red),and DAPI (blue). |
![]() |
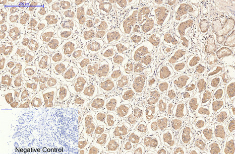
Immunohistochemistry analysis of paraffin-embedded Human stomach tissue using CD21 antibody.High-pressure and temperature Sodium Citrate pH 6.0 was used for antigen retrieval.Negative control was used by secondary antibody only. |
![]() |
Immunohistochemical analysis of paraffin-embedded Human tonsils using CD21 antibody.High-pressure and temperature Sodium Citrate pH 6.0 was used for antigen retrieval.Negative control was used by secondary antibody only. |
![]() |
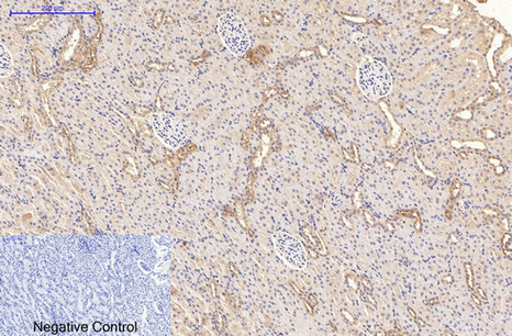
Immunohistochemistry analysis of paraffin-embedded mouse kidney tissue using CD21 antibody. High-pressure and temperature Sodium Citrate pH 6.0 was used for antigen retrieval. Negative control was used by secondary antibody only. |
![]() |
Immunohistochemistry analysis of paraffin-embedded Human tonsil tissue using CD21 antibody.High-pressure and temperature Sodium Citrate pH 6.0 was used for antigen retrieval. |
本公司的所有产品仅用于科学研究或者工业应用等非医疗目的,不可用于人类或动物的临床诊断或治疗,非药用,非食用。
暂无评论
本公司的所有产品仅用于科学研究或者工业应用等非医疗目的,不可用于人类或动物的临床诊断或治疗,非药用,非食用。
中文





发表回复