别名:CD5; LEU1; T-cell surface glycoprotein CD5; Lymphocyte antigen T1/Leu-1; CD antigen CD5应用:IHC
反应种属:Human,Rat,Mouse
规格:50μl/100μl
| Description |
|---|
| May act as a receptor in regulating T-cell proliferation. CD5 interacts with CD72/LYB-2. |
| Specification | |
|---|---|
| Aliases | CD5; LEU1; T-cell surface glycoprotein CD5; Lymphocyte antigen T1/Leu-1; CD antigen CD5 |
| Entrez GeneID | 921 |
| Swissprot | P06127 |
| clone | 5H8 |
| Host/Isotype | Mouse IgG1 |
| Storage | Store at 4°C short term. Aliquot and store at -20°C long term. Avoid freeze/thaw cycles. |
| Species Reactivity | Human,Rat,Mouse |
| Immunogen | Synthetic peptide conjugated to KLH. |
| Formulation | Liquid in PBS containing 50% glycerol, 0.5% BSA and 0.02% sodium azide, pH 7.3. |
| Application | |
|---|---|
| IHC | 1/50-1/100 |
![]() |
Immunofluorescence analysis of CD5 in mouse heart tissue using CD5 antibody(10G8)(red),and DAPI (blue). |
![]() |
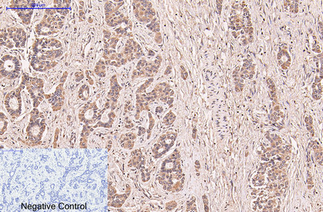
Immunohistochemistry analysis of paraffin-embedded Human livercancer tissue using CD5 antibody.High-pressure and temperature Sodium Citrate pH 6.0 was used for antigen retrieval.Negative control was used by secondary antibody only. |
![]() |
Immunohistochemical analysis of paraffin-embedded Human tonsils using CD5 antibody.High-pressure and temperature Sodium Citrate pH 6.0 was used for antigen retrieval.Negative control was used by secondary antibody only. |
![]() |
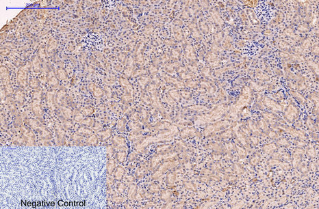
Immunohistochemistry analysis of paraffin-embedded mouse kidney tissue using CD5 antibody. High-pressure and temperature Sodium Citrate pH 6.0 was used for antigen retrieval. Negative control was used by secondary antibody only. |
![]() |
Immunohistochemistry analysis of paraffin-embedded Human Tonsil Caricnoma using CD5 antibody.High-pressure and temperature Sodium Citrate pH 6.0 was used for antigen retrieval. |
本公司的所有产品仅用于科学研究或者工业应用等非医疗目的,不可用于人类或动物的临床诊断或治疗,非药用,非食用。
暂无评论
本公司的所有产品仅用于科学研究或者工业应用等非医疗目的,不可用于人类或动物的临床诊断或治疗,非药用,非食用。
中文





发表回复