别名:Collagen alpha-1(I) chain (Alpha-1 type I collagen)应用:IHC
反应种属:Human,Mouse,Rat
规格:50μl/100μl
| Specification | |
|---|---|
| Aliases | Collagen alpha-1(I) chain (Alpha-1 type I collagen) |
| Entrez GeneID | 1277; |
| Swissprot | P02452 |
| WB Predicted band size | 139kDa |
| Storage | Store at 4°C short term. Aliquot and store at -20°C long term. Avoid freeze/thaw cycles. |
| Species Reactivity | Human,Mouse,Rat |
| Immunogen | Synthetic Peptide of Collagen I |
| Formulation | Liquid in PBS containing 50% glycerol, 0.5% BSA and 0.02% sodium azide. |
| Application | |
|---|---|
| IHC | 1/50-1/200 |
![]() |
Immunohistochemical analysis of paraffin-embedded Human Colon Carcinoma Tissue using Collagen I Mouse mAb diluted at 1:200. |
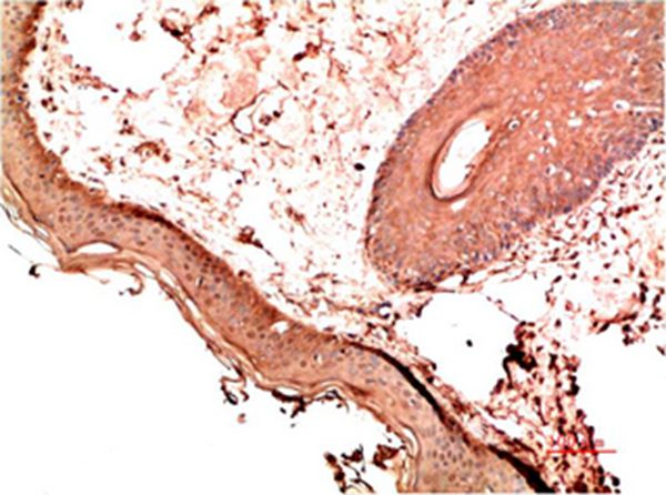
![]() |
Immunohistochemical analysis of paraffin-embedded Human skin Carcinoma Tissue using Collagen I Mouse mAb diluted at 1:200. |
本公司的所有产品仅用于科学研究或者工业应用等非医疗目的,不可用于人类或动物的临床诊断或治疗,非药用,非食用。
暂无评论
本公司的所有产品仅用于科学研究或者工业应用等非医疗目的,不可用于人类或动物的临床诊断或治疗,非药用,非食用。
中文


发表回复