别名:CCNB1; CCNB; G2/mitotic-specific cyclin-B1应用:IHC
反应种属:Human,Rat,Mouse
规格:50μl/100μl
| Description |
|---|
| Essential for the control of the cell cycle at the G2/M (mitosis) transition. a member of the highly conserved cyclin family, whose members are characterized by a dramatic periodicity in protein abundance through the cell cycle. Cyclins function as regulators of CDK kinases. |
| Specification | |
|---|---|
| Aliases | CCNB1; CCNB; G2/mitotic-specific cyclin-B1 |
| Entrez GeneID | 891 |
| Swissprot | P14635 |
| clone | 1A3 |
| Host/Isotype | Mouse IgG |
| Storage | Store at 4°C short term. Aliquot and store at -20°C long term. Avoid freeze/thaw cycles. |
| Species Reactivity | Human,Rat,Mouse |
| Immunogen | Synthetic peptide conjugated to KLH. |
| Formulation | Liquid in PBS containing 50% glycerol, 0.5% BSA and 0.02% sodium azide, pH 7.3. |
| Application | |
|---|---|
| IHC | 1/50-1/100 |
![]() |
Immunohistochemistry analysis of paraffin-embedded Human Lung Carcinoma Tissue using Cyclin B1 antibody.High-pressure and temperature Sodium Citrate pH 6.0 was used for antigen retrieval. |
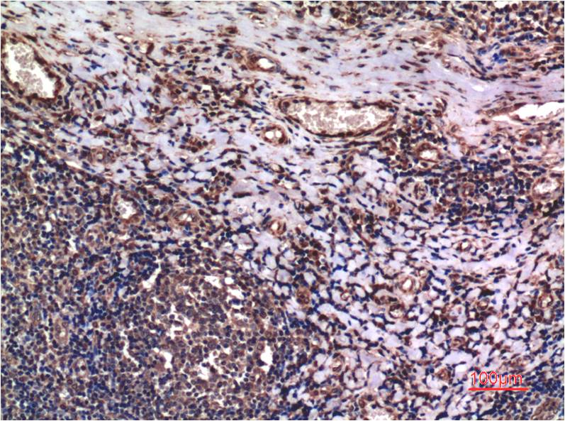
![]() |
Immunohistochemical analysis of paraffin-embedded Human tonsils using Cyclin B1 antibody.High-pressure and temperature Sodium Citrate pH 6.0 was used for antigen retrieval. |
本公司的所有产品仅用于科学研究或者工业应用等非医疗目的,不可用于人类或动物的临床诊断或治疗,非药用,非食用。
暂无评论
本公司的所有产品仅用于科学研究或者工业应用等非医疗目的,不可用于人类或动物的临床诊断或治疗,非药用,非食用。
中文


发表回复