别名:CST3; Cystatin-C; Cystatin-3; Gamma-trace; Neuroendocrine basic polypeptide; Post-gamma-globulin应用:WB,IHC
反应种属:Human
规格:50μl/100μl
| Description |
|---|
| Cystatin C is a 14 kDa member of the Cystatin superfamily of cysteine protease inhibitors. Most cell types secrete Cystatin C. Cystatin C inhibits cathepsins, and thereby may function as a tumor suppressor by inhibiting cathepsin mediated tumor cell invasion. In addition, this tumor suppressor function can also be attributed to Cystatin C’s ability to antagonize TGF-β1 signaling. |
| Specification | |
|---|---|
| Aliases | CST3; Cystatin-C; Cystatin-3; Gamma-trace; Neuroendocrine basic polypeptide; Post-gamma-globulin |
| Entrez GeneID | 1471 |
| Swissprot | P01034 |
| clone | 6G11 |
| WB Predicted band size | Calculated MW: 16 kDa; Observed MW: 16 kDa |
| Host/Isotype | Mouse IgG1 |
| Storage | Store at 4°C short term. Aliquot and store at -20°C long term. Avoid freeze/thaw cycles. |
| Species Reactivity | Human |
| Immunogen | Purified recombinant protein expressed in E.coli. |
| Formulation | Liquid in PBS containing 50% glycerol, 0.5% BSA and 0.02% sodium azide, pH 7.3. |
| Application | |
|---|---|
| WB | 1/500-1/1000 |
| IHC | 1/50-1/100 |
| ELISA | 1/10000 |
![]() |
Immunohistochemistry analysis of paraffin-embedded Human Kidney Tissue using Cystatin C antibody.High-pressure and temperature Sodium Citrate pH 6.0 was used for antigen retrieval. |
![]() |
Immunohistochemical analysis of paraffin-embedded Human tonsils using Cystatin C antibody.High-pressure and temperature Sodium Citrate pH 6.0 was used for antigen retrieval. |
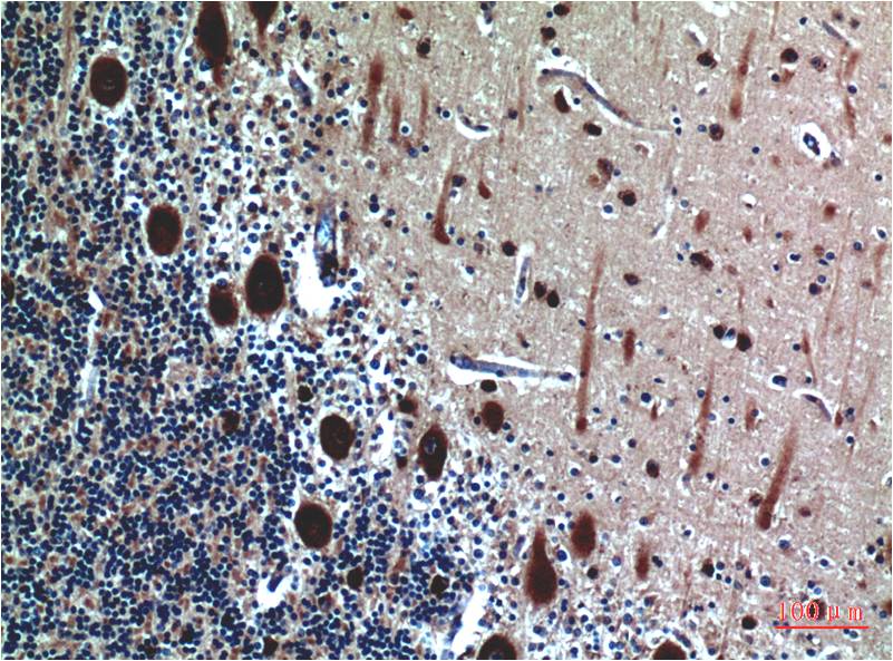
![]() |
Immunohistochemistry analysis of paraffin-embedded Human Brain Tissue using Cystatin C antibody. High-pressure and temperature Sodium Citrate pH 6.0 was used for antigen retrieval. |
本公司的所有产品仅用于科学研究或者工业应用等非医疗目的,不可用于人类或动物的临床诊断或治疗,非药用,非食用。
暂无评论
本公司的所有产品仅用于科学研究或者工业应用等非医疗目的,不可用于人类或动物的临床诊断或治疗,非药用,非食用。
中文



发表回复