别名:CYCS; CYC; Cytochrome c应用:WB,IHC,ICC
反应种属:Human,Mouse,Rat,Chicken
规格:50μl/100μl
| Description |
|---|
| CYCS Electron carrier protein. The oxidized form of the cytochrome c heme group can accept an electron from the heme group of the cytochrome c1 subunit of cytochrome reductase. Cytochrome c then transfers this electron to the cytochrome oxidase complex, the final protein carrier in the mitochondrial electron-transport chain. |
| Specification | |
|---|---|
| Aliases | CYCS; CYC; Cytochrome c |
| Entrez GeneID | 54205 |
| Swissprot | P99999 |
| clone | 7C5 |
| WB Predicted band size | Calculated MW: 12 kDa; Observed MW: 12 kDa |
| Host/Isotype | Mouse IgG1 |
| Storage | Store at 4°C short term. Aliquot and store at -20°C long term. Avoid freeze/thaw cycles. |
| Species Reactivity | Human,Mouse,Rat,Chicken |
| Immunogen | Recombinant Protein of CYCS |
| Formulation | Liquid in PBS containing 50% glycerol, 0.5% BSA and 0.02% sodium azide, pH 7.3. |
| Application | |
|---|---|
| WB | 1/500-1/1000 |
| IHC | 1/50-1/100 |
| ICC | 1/50-1/200 |
![]() |
Western blot analysis of Cytochrome c in T47D, 3T3, COS7, C6 and Hela lysates using Cytochrome c antibody. |
![]() |
Western blot analysis of Cytochrome C in Hela, T47D, mouse brain, K562, rat brain lysates using Cytochrome C antibody. |
![]() |
Immunocytochemistry analysis of Cytochrome C (7C1) (green) in Hela using Cytochrome C (7C1) antibody ,and DAPI(blue) |
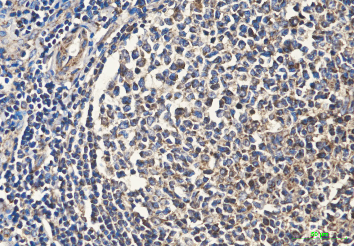
![]() |
Immunohistochemistry analysis of paraffin-embedded uman tonsil tissue using Cytochrome C antibody.High-pressure and temperature Sodium Citrate pH 6.0 was used for antigen retrieval. |
本公司的所有产品仅用于科学研究或者工业应用等非医疗目的,不可用于人类或动物的临床诊断或治疗,非药用,非食用。
暂无评论
本公司的所有产品仅用于科学研究或者工业应用等非医疗目的,不可用于人类或动物的临床诊断或治疗,非药用,非食用。
中文




发表回复