别名:KRT16; KRT16A; Keratin; type I cytoskeletal 16; Cytokeratin-16; CK-16; Keratin-16; K16应用:WB,IHC
反应种属:Human,Mouse,Rat
规格:50μl/100μl
| Description |
|---|
| K16 a type I cytoskeletal keratin. The keratins are intermediate filament proteins responsible for the structural integrity of epithelial cells and are subdivided into cytokeratins and hair keratins. There are two types of cytoskeletal and microfibrillar keratin: type I (acidic; 40-55 kDa) [K9 to K20] and type II (neutral to basic; 56-70 kDa) [K1 to K8]. |
| Specification | |
|---|---|
| Aliases | KRT16; KRT16A; Keratin; type I cytoskeletal 16; Cytokeratin-16; CK-16; Keratin-16; K16 |
| Entrez GeneID | 3868 |
| Swissprot | P08779 |
| clone | 5C7 |
| WB Predicted band size | Calculated MW: 51 kDa; Observed MW: 51 kDa |
| Host/Isotype | Mouse IgG1 |
| Storage | Store at 4°C short term. Aliquot and store at -20°C long term. Avoid freeze/thaw cycles. |
| Species Reactivity | Human,Mouse,Rat |
| Immunogen | Synthetic Peptide of CK16 |
| Formulation | Liquid in PBS containing 50% glycerol, 0.5% BSA and 0.02% sodium azide, pH 7.3. |
| Application | |
|---|---|
| WB | 1/500-1/1000 |
| IHC | 1/50-1/100 |
![]() |
Western blot analysis of Cytokeratin 16 in T47D and Hela lysates using Cytokeratin 16 antibody. |
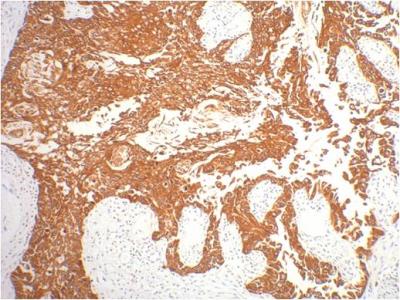
![]() |
Immunohistochemistry analysis of paraffin-embedded Human gullet cancer tissue using CK16 antibody.High-pressure and temperature Sodium Citrate pH 6.0 was used for antigen retrieval. |
本公司的所有产品仅用于科学研究或者工业应用等非医疗目的,不可用于人类或动物的临床诊断或治疗,非药用,非食用。
暂无评论
本公司的所有产品仅用于科学研究或者工业应用等非医疗目的,不可用于人类或动物的临床诊断或治疗,非药用,非食用。
中文


发表回复