别名:Keratin; type I cytoskeletal 17; Cytokeratin-17; CK-17; Keratin-17; K17应用:WB,IHC,ICC,IP
反应种属:Human
规格:50μl/100μl
| Description |
|---|
| Required for the correct growth of hair follicles, in particular for the persistence of the anagen (growth) state (By similarity). Modulates the function of TNF-alpha in the specific context of hair cycling. Regulates protein synthesis and epithelial cell growth through binding to the adapter protein SFN and by stimulating Akt/mTOR pathway (By similarity). Involved in tissue repair. |
| Specification | |
|---|---|
| Aliases | Keratin; type I cytoskeletal 17; Cytokeratin-17; CK-17; Keratin-17; K17 |
| Entrez GeneID | 3872 |
| Swissprot | Q04695 |
| clone | 9D7 |
| WB Predicted band size | Calculated MW: 48 kDa; Observed MW: 48 kDa |
| Host/Isotype | Mouse IgG1 |
| Storage | Store at 4°C short term. Aliquot and store at -20°C long term. Avoid freeze/thaw cycles. |
| Species Reactivity | Human |
| Immunogen | Synthetic Peptide of CK17 |
| Formulation | Liquid in PBS containing 50% glycerol, 0.5% BSA and 0.02% sodium azide, pH 7.3. |
| Application | |
|---|---|
| IP | 1/20 |
| WB | 1/500-1/1000 |
| IHC | 1/50-1/100 |
| ICC | 1/50-1/200 |
![]() |
Western blot analysis of Cytokeratin 17 in Hela, MCF-7, 293T lysates using Cytokeratin 17 antibody |
![]() |
Immunoprecipitation analysis of Cytokeratin 17 in Hela lysates using Cytokeratin 17 antibody |
![]() |
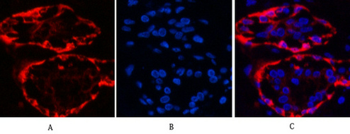
Immunofluorescence analysis of Cytokeratin 17 in Human breast tissue using CK17 antibody(red),and DAPI (blue). |
![]() |
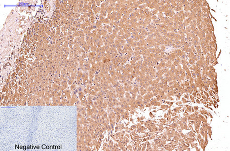
Immunohistochemistry analysis of paraffin-embedded Human liver tissue using Cytokeratin 17 antibody.High-pressure and temperature Sodium Citrate pH 6.0 was used for antigen retrieval.Negative control was used by secondary antibody only. |
本公司的所有产品仅用于科学研究或者工业应用等非医疗目的,不可用于人类或动物的临床诊断或治疗,非药用,非食用。
暂无评论
本公司的所有产品仅用于科学研究或者工业应用等非医疗目的,不可用于人类或动物的临床诊断或治疗,非药用,非食用。
中文




发表回复