别名:Cell proliferation inducing gene 46 protein; Cell proliferation inducing protein 46; Cell proliferation-inducing gene 46 protein; CK 18; CK-18; CK18; CYK 18; CYK18; Cytokeratin 18; Cytokeratin endo B; Cytokeratin-18; K 18; K18; K1C18_HUMAN; Keratin 18; Keratin D; keratin; type I cytoskeletal 18; Keratin-18; KRT18.应用:WB,ICC
反应种属:Human,Monkey
规格:50μl/100μl
| Description |
|---|
| K18 a type I cytoskeletal keratin. The keratins are intermediate filament proteins responsible for the structural integrity of epithelial cells and are subdivided into cytokeratins and hair keratins. Keratin 18 and its filament partner keratin 8 are perhaps the most commonly found members of the intermediate filament gene family. |
| Specification | |
|---|---|
| Aliases | Cell proliferation inducing gene 46 protein; Cell proliferation inducing protein 46; Cell proliferation-inducing gene 46 protein; CK 18; CK-18; CK18; CYK 18; CYK18; Cytokeratin 18; Cytokeratin endo B; Cytokeratin-18; K 18; K18; K1C18_HUMAN; Keratin 18; Keratin D; keratin; type I cytoskeletal 18; Keratin-18; KRT18. |
| Entrez GeneID | 3875 |
| Swissprot | P05783 |
| clone | 3A6 |
| WB Predicted band size | Calculated MW: 48 kDa; Observed MW: 48 kDa |
| Host/Isotype | Mouse IgG2a |
| Storage | Store at 4°C short term. Aliquot and store at -20°C long term. Avoid freeze/thaw cycles. |
| Species Reactivity | Human,Monkey |
| Immunogen | Purified recombinant human Keratin 18 protein fragments expressed in E.coli. |
| Formulation | Liquid in PBS containing 50% glycerol, 0.5% BSA and 0.02% sodium azide, pH 7.3. |
| Application | |
|---|---|
| WB | 1/500-1/1000 |
| ICC | 1/50-1/200 |
![]() |
Western blot analysis of Keratin 18 in Hela, COS7 and 293T lysates using Keratin 18 antibody. |
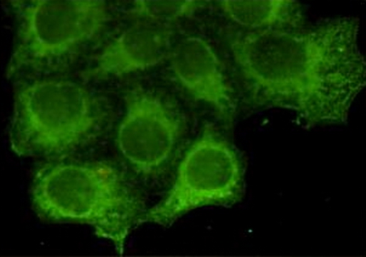
![]() |
Immunocytochemistry analysis of Cytokeratin 18 in HeLa using Keratin 18 antibody. |
本公司的所有产品仅用于科学研究或者工业应用等非医疗目的,不可用于人类或动物的临床诊断或治疗,非药用,非食用。
暂无评论
本公司的所有产品仅用于科学研究或者工业应用等非医疗目的,不可用于人类或动物的临床诊断或治疗,非药用,非食用。
中文


发表回复