别名:CK 6A; CK 6B; CK 6C; CK 6D; CK 6E; CK-6C; CK-6E; K6a keratin; K6b keratin; K6C; K6c keratin; K6d keratin; K6e keratin; Keratin; KRT6A; KRT6B; KRT6C; KRT6D; KRT6E应用:WB,IHC,ICC
反应种属:Human
规格:50μl/100μl
| Description |
|---|
| There are at least six isoforms of human type II keratin-6 (K6). There are two types of cytoskeletal and microfibrillar keratin, I (acidic) and II (neutral to basic) (40-55 and 56-70 kDa, respectively). |
| Specification | |
|---|---|
| Aliases | CK 6A; CK 6B; CK 6C; CK 6D; CK 6E; CK-6C; CK-6E; K6a keratin; K6b keratin; K6C; K6c keratin; K6d keratin; K6e keratin; Keratin; KRT6A; KRT6B; KRT6C; KRT6D; KRT6E |
| Entrez GeneID | 3853/3854/286887 |
| Swissprot | P02538/P04259/P48668 |
| clone | 1C5 |
| WB Predicted band size | Calculated MW: 60 kDa; Observed MW: 56-60 kDa |
| Host/Isotype | Mouse IgG1 |
| Storage | Store at 4°C short term. Aliquot and store at -20°C long term. Avoid freeze/thaw cycles. |
| Species Reactivity | Human |
| Immunogen | Synthetic Peptide of Cytokeratin 6 |
| Formulation | Liquid in PBS containing 50% glycerol, 0.5% BSA and 0.02% sodium azide, pH 7.3. |
| Application | |
|---|---|
| WB | 1/500-1/1000 |
| IHC | 1/50-1/100 |
| ICC | 1/50-1/200 |
![]() |
Western blot analysis of Cytokeratin 6 in Hela, C6, 3T3, K562, HepG2 lysates using Cytokeratin 6 antibody |
![]() |
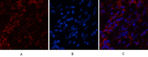
Immunofluorescence analysis of Cytokeratin 6 in Human breastcancer tissue using Cytokeratin 6 antibody(red),and DAPI (blue). |
![]() |
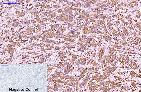
Immunohistochemistry analysis of paraffin-embedded Human breastcancer tissue using Cytokeratin 6 antibody.High-pressure and temperature Sodium Citrate pH 6.0 was used for antigen retrieval.Negative control was used by secondary antibody only. |
本公司的所有产品仅用于科学研究或者工业应用等非医疗目的,不可用于人类或动物的临床诊断或治疗,非药用,非食用。
暂无评论
本公司的所有产品仅用于科学研究或者工业应用等非医疗目的,不可用于人类或动物的临床诊断或治疗,非药用,非食用。
中文



发表回复