别名:KRT8; CYK8; Keratin; type II cytoskeletal 8; Cytokeratin-8; CK-8; Keratin-8; K8; Type-II keratin Kb8应用:WB,IHC,ICC
反应种属:Human,Mouse,Rat
规格:50μl/100μl
| Description |
|---|
| Together with KRT19, helps to link the contractile apparatus to dystrophin at the costameres of striated muscle. K8 a type II cytoskeletal keratin. The keratins are intermediate filament proteins responsible for the structural integrity of epithelial cells and are subdivided into cytokeratins and hair keratins. |
| Specification | |
|---|---|
| Aliases | KRT8; CYK8; Keratin; type II cytoskeletal 8; Cytokeratin-8; CK-8; Keratin-8; K8; Type-II keratin Kb8 |
| Entrez GeneID | 3856 |
| Swissprot | P05787 |
| clone | 5C5 |
| WB Predicted band size | Calculated MW: 54 kDa; Observed MW: 54 kDa |
| Host/Isotype | Mouse IgG1 |
| Storage | Store at 4°C short term. Aliquot and store at -20°C long term. Avoid freeze/thaw cycles. |
| Species Reactivity | Human,Mouse,Rat |
| Immunogen | Synthetic Peptide of CK8 |
| Formulation | Liquid in PBS containing 50% glycerol, 0.5% BSA and 0.02% sodium azide, pH 7.3. |
| Application | |
|---|---|
| WB | 1/500-1/1000 |
| IHC | 1/50-1/100 |
| ICC | 1/50-1/200 |
![]() |
Western blot analysis of Cytokeratin 8 in Hela, mouse Brain lysates using Cytokeratin 8 antibody. |
![]() |
Immunohistochemistry analysis of paraffin-embedded Human colon tissue using Cytokeratin 8 antibody.High-pressure and temperature Sodium Citrate pH 6.0 was used for antigen retrieval.Negative control was used by secondary antibody only. |
![]() |
Immunohistochemical analysis of paraffin-embedded Human tonsils using Cytokeratin 8 antibody.High-pressure and temperature Sodium Citrate pH 6.0 was used for antigen retrieval.Negative control was used by secondary antibody only. |
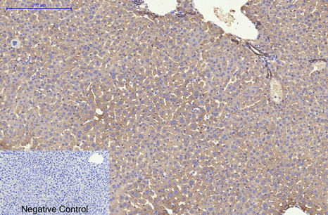
![]() |
Immunohistochemistry analysis of paraffin-embedded mouse liver tissue using CK8 antibody. High-pressure and temperature Sodium Citrate pH 6.0 was used for antigen retrieval. Negative control was used by secondary antibody only. |
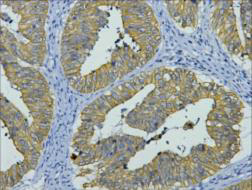
![]() |
Immunohistochemistry analysis of paraffin-embeddedHuman colon cancer tissue using Cytokeratin 8 antibody.High-pressure and temperature Sodium Citrate pH 6.0 was used for antigen retrieval. |
本公司的所有产品仅用于科学研究或者工业应用等非医疗目的,不可用于人类或动物的临床诊断或治疗,非药用,非食用。
暂无评论
本公司的所有产品仅用于科学研究或者工业应用等非医疗目的,不可用于人类或动物的临床诊断或治疗,非药用,非食用。
中文





发表回复