别名:PRKDC; HYRC; HYRC1; DNA-dependent protein kinase catalytic subunit; DNA-PK catalytic subunit; DNA-PKcs; DNPK1; p460应用:WB,IHC,ICC,IP
反应种属:Human
规格:50μl/100μl
| Description |
|---|
| The PRKDC gene encodes the catalytic subunit of a nuclear DNA-dependent serine/threonine protein kinase (DNA-PK). The second component is the autoimmune antigen Ku (MIM 152690), which is encoded by the G22P1 gene on chromosome 22q. On its own, the catalytic subunit of DNA-PK is inactive and relies on the G22P1 component to direct it to the DNA and trigger its kinase activity; PRKDC must be bound to DNA to express its catalytic properties. |
| Specification | |
|---|---|
| Aliases | PRKDC; HYRC; HYRC1; DNA-dependent protein kinase catalytic subunit; DNA-PK catalytic subunit; DNA-PKcs; DNPK1; p460 |
| Entrez GeneID | 5591 |
| Swissprot | P78527 |
| clone | 7G3 |
| WB Predicted band size | Calculated MW: 469 kDa; Observed MW: 450 kDa |
| Host/Isotype | Mouse IgG1 |
| Storage | Store at 4°C short term. Aliquot and store at -20°C long term. Avoid freeze/thaw cycles. |
| Species Reactivity | Human |
| Immunogen | Purified recombinant human DNA-PKcs protein fragments expressed in E.coli |
| Formulation | Liquid in PBS containing 50% glycerol, 0.5% BSA and 0.02% sodium azide, pH 7.3. |
| Application | |
|---|---|
| IP | 1/20 |
| WB | 1/500-1/1000 |
| IHC | 1/50-1/100 |
| ICC | 1/50-1/200 |
![]() |
Western blot analysis of DNAPKcs in Hela and K562 lysates using DNAPKcs antibody. |
![]() |
Western blot analysis of DNAPKcs in Hela, Molt4, A549 and HCT116 lysates using DNAPKcs antibody. |
![]() |
Immunoprecipitation analysis of DNA PKcs in Hela lysates using DNAPKcs antibody. |
![]() |
Immunocytochemistry analysis of DNA PKcs in Hela using DNAPKcs antibody. |
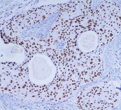
![]() |
Immunohistochemistry analysis of paraffin-embedded Breast cancer using DNAPKcs antibody.High-pressure and temperature Sodium Citrate pH 6.0 was used for antigen retrieval. |
本公司的所有产品仅用于科学研究或者工业应用等非医疗目的,不可用于人类或动物的临床诊断或治疗,非药用,非食用。
暂无评论
本公司的所有产品仅用于科学研究或者工业应用等非医疗目的,不可用于人类或动物的临床诊断或治疗,非药用,非食用。
中文





发表回复