别名:EF-hand domain-containing protein D1; Mitocalcin; MGC103094; Swiprosin 2应用:WB,IHC,ICC
反应种属:Human,Mouse,Rat
规格:50μl/100μl
| Description |
|---|
| Acts as a calcium sensor for mitochondrial flash (mitoflash) activation, an event characterized by stochastic bursts of superoxide production (PubMed:26975899). May play a role in neuronal differentiation . |
| Specification | |
|---|---|
| Aliases | EF-hand domain-containing protein D1; Mitocalcin; MGC103094; Swiprosin 2 |
| Entrez GeneID | 80303 |
| Swissprot | Q9BUP0 |
| clone | 5C5 |
| WB Predicted band size | Calculated MW: 27 kDa; Observed MW: 27 kDa |
| Host/Isotype | Mouse IgG1 |
| Storage | Store at 4°C short term. Aliquot and store at -20°C long term. Avoid freeze/thaw cycles. |
| Species Reactivity | Human,Mouse,Rat |
| Immunogen | Synthetic Peptide of EFHD1 |
| Formulation | Liquid in PBS containing 50% glycerol, 0.5% BSA and 0.02% sodium azide, pH 7.3. |
| Application | |
|---|---|
| WB | 1/500-1/1000 |
| IHC | 1/50-1/100 |
| ICC | 1/50-1/200 |
![]() |
Western blot analysis of EFHD1 in mouse spleen, rat spleen tissue lysates using EFHD1 antibody. |
![]() |
Immunofluorescence analysis of EFHD1 in mouse lung using EFHD1 antibody(3G2)(red),and DAPI (blue). |
![]() |
Immunofluorescence analysis of EFHD1 in Hela using EFHD1 antibody(Left) and DAPI (Right). |
![]() |
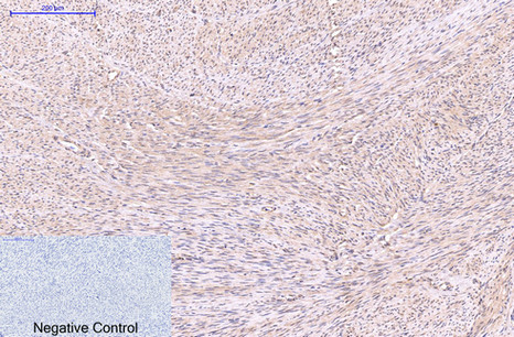
Immunohistochemistry analysis of paraffin-embedded Human uterus tissue using EFHD1 antibody.High-pressure and temperature Sodium Citrate pH 6.0 was used for antigen retrieval.Negative control was used by secondary antibody only. |
![]() |
Immunohistochemistry analysis of paraffin-embedded Human tonsils using EFHD1 antibody.High-pressure and temperature Sodium Citrate pH 6.0 was used for antigen retrieval.Negative control was used by secondary antibody only. |
![]() |
Immunohistochemistry analysis of paraffin-embedded mouse testis tissue using EFHD1 antibody. High-pressure and temperature Sodium Citrate pH 6.0 was used for antigen retrieval. Negative control was used by secondary antibody only. |
本公司的所有产品仅用于科学研究或者工业应用等非医疗目的,不可用于人类或动物的临床诊断或治疗,非药用,非食用。
暂无评论
本公司的所有产品仅用于科学研究或者工业应用等非医疗目的,不可用于人类或动物的临床诊断或治疗,非药用,非食用。
中文






发表回复