别名:FLJ22589; TUBE1; tubulin epsilon 1; ε tubulin应用:IHC
反应种属:Human,Rat,Mouse
规格:50μl/100μl
| Description |
|---|
| This gene encodes a member of the tubulin superfamily. This protein localizes to the centriolar sub-distal appendages that are associated with the older of the two centrioles after centrosome duplication. This protein plays a central role in organization of the microtubules during centriole duplication. A pseudogene of this gene is found on chromosome 5. |
| Specification | |
|---|---|
| Aliases | FLJ22589; TUBE1; tubulin epsilon 1; ε tubulin |
| Entrez GeneID | 51175 |
| Swissprot | Q9UJT0 |
| clone | 12C7 |
| Host/Isotype | Mouse IgG1 |
| Storage | Store at 4°C short term. Aliquot and store at -20°C long term. Avoid freeze/thaw cycles. |
| Species Reactivity | Human,Rat,Mouse |
| Immunogen | Synthetic peptide conjugated to KLH. |
| Formulation | Liquid in PBS containing 50% glycerol, 0.5% BSA and 0.02% sodium azide, pH 7.3. |
| Application | |
|---|---|
| IHC | 1/50-1/100 |
![]() |
Immunohistochemistry analysis of paraffin-embedded Human Colon CarcinomaTissue using epsilon Tubulin antibody.High-pressure and temperature Sodium Citrate pH 6.0 was used for antigen retrieval. |
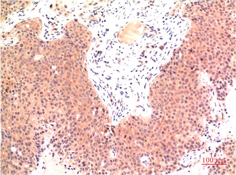
![]() |
Immunohistochemical analysis of paraffin-embedded Human tonsils using epsilon Tubulin antibody.High-pressure and temperature Sodium Citrate pH 6.0 was used for antigen retrieval. |
本公司的所有产品仅用于科学研究或者工业应用等非医疗目的,不可用于人类或动物的临床诊断或治疗,非药用,非食用。
暂无评论
本公司的所有产品仅用于科学研究或者工业应用等非医疗目的,不可用于人类或动物的临床诊断或治疗,非药用,非食用。
中文


发表回复