别名:FEN1; RAD2; Flap endonuclease 1; FEN-1; DNase IV; Flap structure-specific endonuclease 1; Maturation factor 1; MF1; hFEN-1应用:WB,IP
反应种属:Human,Mouse,Rat
规格:50μl/100μl
| Description |
|---|
| Acts as a genome stabilization factor that prevents flaps from equilibrating into structurs that lead to duplications and deletions. Also possesses 5′-3′ exonuclease activity on nicked or gapped double-stranded DNA, and exhibits RNase H activity. Also involved in replication and repair of rDNA and in repairing mitochondrial DNA. |
| Specification | |
|---|---|
| Aliases | FEN1; RAD2; Flap endonuclease 1; FEN-1; DNase IV; Flap structure-specific endonuclease 1; Maturation factor 1; MF1; hFEN-1 |
| Entrez GeneID | 2237 |
| Swissprot | P39748 |
| clone | 1E7 |
| WB Predicted band size | Calculated MW: 43 kDa; Observed MW: 43 kDa |
| Host/Isotype | Mouse IgG1 |
| Storage | Store at 4°C short term. Aliquot and store at -20°C long term. Avoid freeze/thaw cycles. |
| Species Reactivity | Human,Mouse,Rat |
| Immunogen | Purified recombinant human FEN-1 protein fragments expressed in E.coli. |
| Formulation | Liquid in PBS containing 50% glycerol, 0.5% BSA and 0.02% sodium azide, pH 7.3. |
| Application | |
|---|---|
| IP | 1/20 |
| WB | 1/500-1/1000 |
![]() |
Western blot analysis of FEN1 in Hela, Jurkat, 3T3, C6, CEM and Ramos lysates using FEN1 antibody. |
![]() |
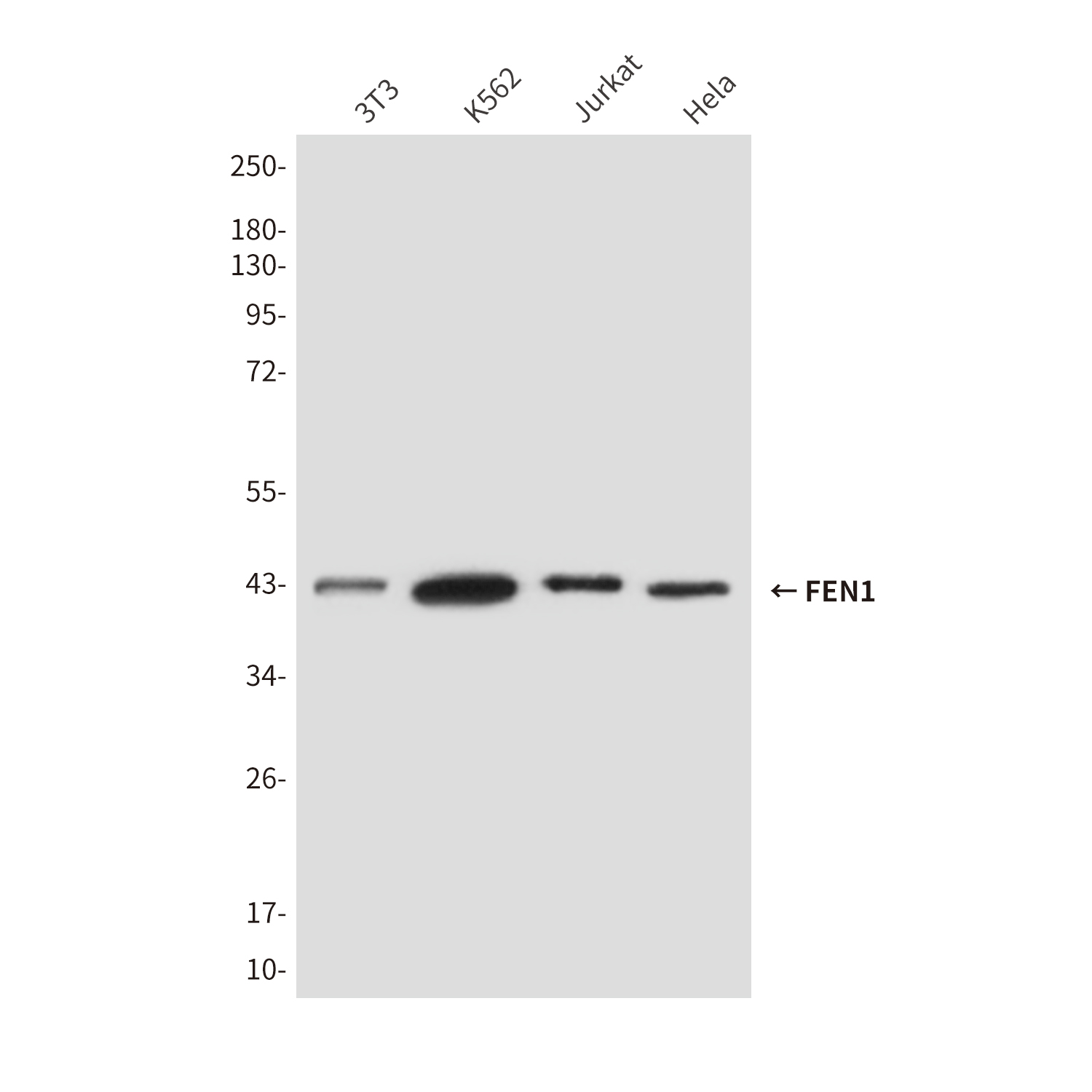
Western blot analysis of FEN1 in Hela, Jurkat, K562 and 3T3 lysates using FEN1 antibody. |
![]() |
Immunoprecipitation analysis of FEN1 in Hela lysates using FEN1 antibody. |
本公司的所有产品仅用于科学研究或者工业应用等非医疗目的,不可用于人类或动物的临床诊断或治疗,非药用,非食用。
暂无评论
本公司的所有产品仅用于科学研究或者工业应用等非医疗目的,不可用于人类或动物的临床诊断或治疗,非药用,非食用。
中文



发表回复