别名:GAP43; Neuromodulin; Axonal membrane protein GAP-43; Growth-associated protein 43; Neural phosphoprotein B-50; pp46应用:WB,IHC
反应种属:Human,Mouse,Rat
规格:50μl/100μl
| Description |
|---|
| This protein is associated with nerve growth. It is a major component of the motile “growth cones” that form the tips of elongating axons. Plays a role in axonal and dendritic filopodia induction. |
| Specification | |
|---|---|
| Aliases | GAP43; Neuromodulin; Axonal membrane protein GAP-43; Growth-associated protein 43; Neural phosphoprotein B-50; pp46 |
| Entrez GeneID | 2596 |
| Swissprot | P17677 |
| clone | 5C7 |
| WB Predicted band size | Calculated MW: 25 kDa; Observed MW: 38,43 kDa |
| Host/Isotype | Mouse IgG1 |
| Storage | Store at 4°C short term. Aliquot and store at -20°C long term. Avoid freeze/thaw cycles. |
| Species Reactivity | Human,Mouse,Rat |
| Immunogen | Recombinant Protein of GAP-43 |
| Formulation | Liquid in PBS containing 50% glycerol, 0.5% BSA and 0.02% sodium azide, pH 7.3. |
| Application | |
|---|---|
| WB | 1/500-1/1000 |
| IHC | 1/50-1/100 |
![]() |
Western blot analysis of GAP43 (10C7)in Hela, 293T, mouse Brain, rat Brain lysates using GAP43 antibody. |
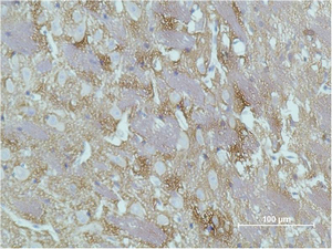
![]() |
Immunohistochemistry analysis of paraffin-embedded rat Brain Tissue using GAP43 antibody.High-pressure and temperature Sodium Citrate pH 6.0 was used for antigen retrieval. |
![]() |
Western blot analysis of GAP43 in rat Brain lysates using GAP43 antibody. |
本公司的所有产品仅用于科学研究或者工业应用等非医疗目的,不可用于人类或动物的临床诊断或治疗,非药用,非食用。
暂无评论
本公司的所有产品仅用于科学研究或者工业应用等非医疗目的,不可用于人类或动物的临床诊断或治疗,非药用,非食用。
中文



发表回复