别名:Trans-acting T-cell-specific transcription factor GATA-3, GATA-binding factor 3, GATA3应用:WB,IHC,ICC,FCM
反应种属:Human
规格:50μl/100μl
| Description |
|---|
| Transcriptional activator which binds to the enhancer of the T-cell receptor alpha and delta genes. Binds to the consensus sequence 5′-AGATAG-3′. |
| Specification | |
|---|---|
| Aliases | Trans-acting T-cell-specific transcription factor GATA-3, GATA-binding factor 3, GATA3 |
| Entrez GeneID | 2625 |
| Swissprot | P23771 |
| WB Predicted band size | 47.9kDa |
| Host/Isotype | Mouse IgG2b |
| Storage | Store at 4°C short term. Aliquot and store at -20°C long term. Avoid freeze/thaw cycles. |
| Species Reactivity | Human |
| Immunogen | This GATA3 antibody is generated from a mouse immunized with a recombinant protein from human GATA3. |
| Application | |
|---|---|
| WB | 1/1000 |
| IHC | 1/400 |
| ICC | 1/25 |
| FCM | 1/25 |
![]() |
Western blot analysis of lysates from CEM, HL-60, SH-SY5Y cell lines (from left to right) using GATA3 Antibody (Center) (Cat. # P32585). P32585 was diluted at 1:1000 at each lane. A goat anti-mouse IgG H&L(HRP) at 1:3000 dilution was used as the secondary antibody. Lysates at 35μg per lane. |
![]() |
Fluorescent image of MCF-7 cells stained with GATA3 Antibody (Center)(Cat#P32585). P32585 was diluted at 1:25 dilution. An Alexa Fluor® 488-conjugated goat anti-mouse lgG at 1:400 dilution was used as the secondary antibody (green). Cytoplasmic actin was counterstained with Alexa Fluor® 555 conjugated with Phalloidin (red). |
![]() |
Flow cytometric analysis of MCF-7 cells using GATA3 Antibody (Center)(green, Cat#P32585) compared to an isotype control of mouse IgG2b(blue). P32585 was diluted at 1:25 dilution. An Alexa Fluor® 488 goat anti-mouse lgG at 1:400 dilution was used as the secondary antibody. |
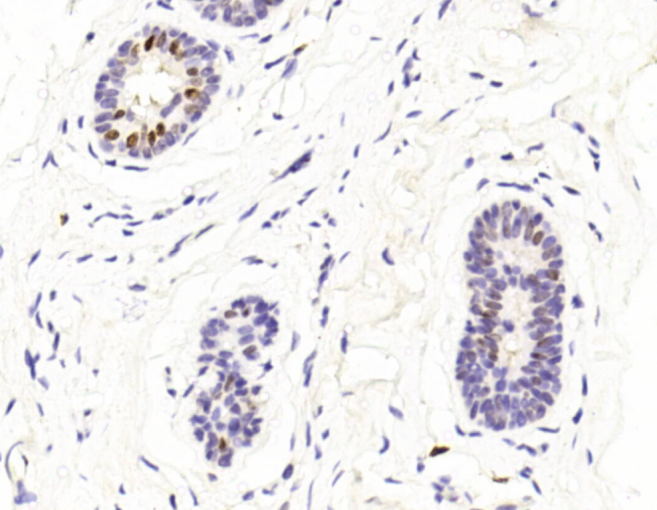
![]() |
Immunohistochemical analysis of paraffin-embedded Human Normal breast section using Pink1(Cat#P32585). P32585 was diluted at 1:400 dilution. A undiluted biotinylated goat polyvalent antibody was used as the secondary, followed by DAB staining. |
本公司的所有产品仅用于科学研究或者工业应用等非医疗目的,不可用于人类或动物的临床诊断或治疗,非药用,非食用。
暂无评论
本公司的所有产品仅用于科学研究或者工业应用等非医疗目的,不可用于人类或动物的临床诊断或治疗,非药用,非食用。
中文




发表回复