别名:HSPA5; GRP78; 78 kDa glucose-regulated protein; GRP-78; Endoplasmic reticulum lumenal Ca(2+)-binding protein grp78; Heat shock 70 kDa protein 5; Immunoglobulin heavy chain-binding protein; BiP应用:WB,IHC
反应种属:Human,Rat
规格:50μl/100μl
| Description |
|---|
| When Chinese hamster K12 cells are starved of glucose, the synthesis of several proteins, called glucose-regulated proteins (GRPs), is markedly increased. Hendershot et al. (1994) (PubMed 8020977) pointed out that one of these, GRP78 (HSPA5), also referred to as ‘immunoglobulin heavy chain-binding protein’ (BiP), is a member of the heat-shock protein-70 (HSP70) family and is involved in the folding and assembly of proteins in the endoplasmic reticulum (ER). |
| Specification | |
|---|---|
| Aliases | HSPA5; GRP78; 78 kDa glucose-regulated protein; GRP-78; Endoplasmic reticulum lumenal Ca(2+)-binding protein grp78; Heat shock 70 kDa protein 5; Immunoglobulin heavy chain-binding protein; BiP |
| Entrez GeneID | 3309 |
| Swissprot | P11021 |
| clone | 10D8 |
| WB Predicted band size | Calculated MW: 72 kDa; Observed MW: 78 kDa |
| Host/Isotype | Mouse IgG1 |
| Storage | Store at 4°C short term. Aliquot and store at -20°C long term. Avoid freeze/thaw cycles. |
| Species Reactivity | Human,Rat |
| Immunogen | Synthetic peptide conjugated to KLH. |
| Formulation | Liquid in PBS containing 50% glycerol, 0.5% BSA and 0.02% sodium azide, pH 7.3. |
| Application | |
|---|---|
| WB | 1/500-1/1000 |
| IHC | 1/50-1/100 |
![]() |
Western blot analysis of GRP78 BiP in Hela, rat Liver lysates using GRP78/Bip antibody. |
![]() |
Western blot analysis of GRP78 BiP in Jurkat, MCF-7, Hela lysates using GRP78 BiP antibody |
![]() |
Immunoprecipitation analysis of GRP78 BiP in Hela lysates using Bip/GRP78 antidody. |
![]() |
Immunocytochemistry analysis of GRP78 BiP in HeLa using Bip/GRP78 antibody. |
![]() |
Immunohistochemistry analysis of paraffin-embedded Human Colon Caricnoma using GRP78/Bip antibody.High-pressure and temperature Sodium Citrate pH 6.0 was used for antigen retrieval. |
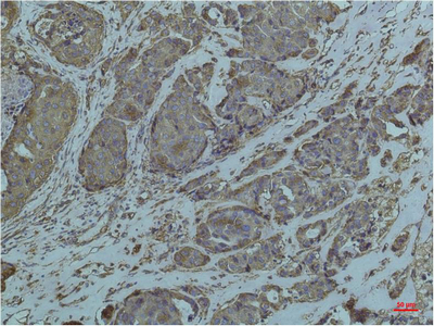
![]() |
Immunohistochemistry analysis of paraffin-embedded Human Breast Caricnoma using GRP78/Bip antibody. High-pressure and temperature Sodium Citrate pH 6.0 was used for antigen retrieval. |
本公司的所有产品仅用于科学研究或者工业应用等非医疗目的,不可用于人类或动物的临床诊断或治疗,非药用,非食用。
暂无评论
本公司的所有产品仅用于科学研究或者工业应用等非医疗目的,不可用于人类或动物的临床诊断或治疗,非药用,非食用。
中文






发表回复