别名:H2BK5ac; H2B 1A; H2B; H2B histone family; H2B2f; H2Ba; H2Bf; HIST2H2BF; histone H2B; histone H2B type 1; Histone H2B type 2-F应用:WB,IHC
反应种属:Human,Mouse,Rat
规格:50μl/100μl
| Description |
|---|
| Belongs to the histone H2B family. Play a central role in transcription regulation, DNA repair, DNA replication and chromosomal stability. DNA accessibility is regulated via a complex set of post-translational modifications of histones, also called histone code, and nucleosome remodeling. |
| Specification | |
|---|---|
| Aliases | H2BK5ac; H2B 1A; H2B; H2B histone family; H2B2f; H2Ba; H2Bf; HIST2H2BF; histone H2B; histone H2B type 1; Histone H2B type 2-F |
| Entrez GeneID | 3018 |
| Swissprot | P33778 |
| clone | 4B2 |
| WB Predicted band size | Calculated MW: 14 kDa; Observed MW: 14 kDa |
| Host/Isotype | Mouse IgG1 |
| Storage | Store at 4°C short term. Aliquot and store at -20°C long term. Avoid freeze/thaw cycles. |
| Species Reactivity | Human,Mouse,Rat |
| Immunogen | Synthetic Peptide of Histone H2B |
| Formulation | Liquid in PBS containing 50% glycerol, 0.5% BSA and 0.02% sodium azide, pH 7.3. |
| Application | |
|---|---|
| WB | 1/500-1/1000 |
| IHC | 1/50-1/100 |
![]() |
Western blot analysis of Histone H2B in Hela and COS7 lysates using Histone H2B antibody. |
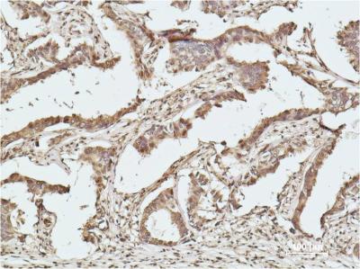
![]() |
Immunohistochemistry analysis of paraffin-embedded Human breast caricnoma using Histone H2B antibody.High-pressure and temperature Sodium Citrate pH 6.0 was used for antigen retrieval. |
本公司的所有产品仅用于科学研究或者工业应用等非医疗目的,不可用于人类或动物的临床诊断或治疗,非药用,非食用。
暂无评论
本公司的所有产品仅用于科学研究或者工业应用等非医疗目的,不可用于人类或动物的临床诊断或治疗,非药用,非食用。
中文


发表回复