别名:CBX5; HP1A; Chromobox protein homolog 5; Antigen p25; Heterochromatin protein 1 homolog alpha; HP1 alpha应用:WB,IHC
反应种属:Human,Rat,Mouse
规格:50μl/100μl
| Description |
|---|
| Component of heterochromatin that recognizes and binds histone H3 tails methylated at ‘Lys-9’ (H3K9me), leading to epigenetic repression. In contrast, it is excluded from chromatin when ‘Tyr-41’ of histone H3 is phosphorylated (H3Y41ph). Can interact with lamin-B receptor (LBR). This interaction can contribute to the association of the heterochromatin with the inner nuclear membrane. Involved in the formation of functional kinetochore through interaction with MIS12 complex proteins. |
| Specification | |
|---|---|
| Aliases | CBX5; HP1A; Chromobox protein homolog 5; Antigen p25; Heterochromatin protein 1 homolog alpha; HP1 alpha |
| Entrez GeneID | 23468 |
| Swissprot | P45973 |
| clone | 12F8 |
| WB Predicted band size | Calculated MW: 22 kDa; Observed MW: 22 kDa |
| Host/Isotype | Mouse IgG1 |
| Storage | Store at 4°C short term. Aliquot and store at -20°C long term. Avoid freeze/thaw cycles. |
| Species Reactivity | Human,Rat,Mouse |
| Immunogen | Purified recombinant protein expressed in E.coli. |
| Formulation | Liquid in PBS containing 50% glycerol, 0.5% BSA and 0.02% sodium azide, pH 7.3. |
| Application | |
|---|---|
| WB | 1/500-1/1000 |
| IHC | 1/50-1/100 |
![]() |
Western blot analysis of HP1 alpha in COS7, Hela lysates using HP1 alpha antibody. |
![]() |
Western blot analysis of HP1α in Hela, A549, HL-60, U2OS, C6 lysates using HP1 alpha antibody |
![]() |
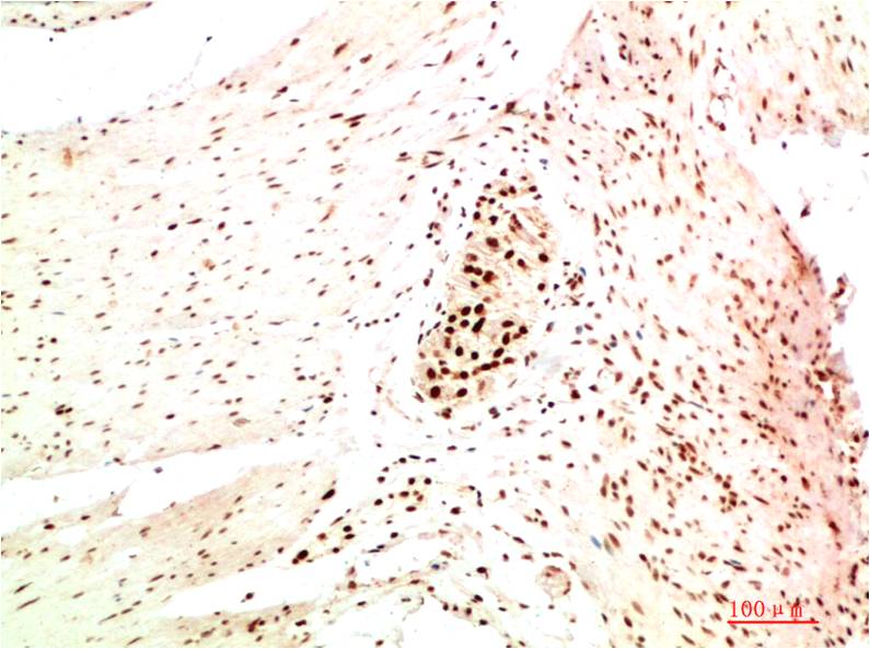
Immunohistochemistry analysis of paraffin-embedded Human Colon Carcinoma Tissue using HP1 alpha antibody.High-pressure and temperature Sodium Citrate pH 6.0 was used for antigen retrieval. |
![]() |
Immunohistochemical analysis of paraffin-embedded Human tonsils using HP1 alpha antibody.High-pressure and temperature Sodium Citrate pH 6.0 was used for antigen retrieval. |
![]() |
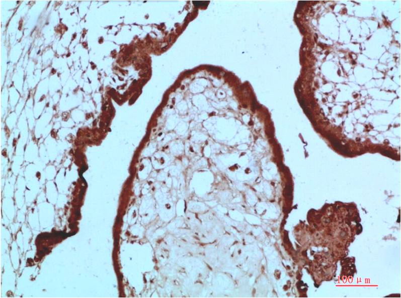
Immunohistochemistry analysis of paraffin-embedded Human Placenta Tissue using HP1 alpha antibody High-pressure and temperature Sodium Citrate pH 6.0 was used for antigen retrieval. |
本公司的所有产品仅用于科学研究或者工业应用等非医疗目的,不可用于人类或动物的临床诊断或治疗,非药用,非食用。
暂无评论
本公司的所有产品仅用于科学研究或者工业应用等非医疗目的,不可用于人类或动物的临床诊断或治疗,非药用,非食用。
中文





发表回复