别名:CBX3; Chromobox protein homolog 3; HECH; Heterochromatin protein 1 homolog gamma; HP1 gamma; Modifier 2 protein应用:WB,IHC
反应种属:Human,Rat,Mouse
规格:50μl/100μl
| Description |
|---|
| Recognizes and binds histone H3 tails methylated at ‘Lys-9’, leading to epigenetic repression. May contribute to the association of the heterochromatin with the inner nuclear membrane through its interaction with lamin B receptor (LBR). Involved in the formation of functional kinetochore through interaction with MIS12 complex proteins. |
| Specification | |
|---|---|
| Aliases | CBX3; Chromobox protein homolog 3; HECH; Heterochromatin protein 1 homolog gamma; HP1 gamma; Modifier 2 protein |
| Entrez GeneID | 11335 |
| Swissprot | Q13185 |
| clone | 9G7 |
| WB Predicted band size | Calculated MW: 21 kDa; Observed MW: 24 kDa |
| Host/Isotype | Mouse IgG1 |
| Storage | Store at 4°C short term. Aliquot and store at -20°C long term. Avoid freeze/thaw cycles. |
| Species Reactivity | Human,Rat,Mouse |
| Immunogen | Purified recombinant protein expressed in E.coli. |
| Formulation | Liquid in PBS containing 50% glycerol, 0.5% BSA and 0.02% sodium azide, pH 7.3. |
| Application | |
|---|---|
| WB | 1/500-1/1000 |
| IHC | 1/50-1/100 |
![]() |
Western blot analysis of HP1 gamma in Hela lysates , 3T3 lysates , PC-12 lysates using HP1 gamma antibody |
![]() |
Western blot analysis of HP1 gamma in MCF-7, HepG2, Raw264.7, Hela lysates using HP1 gamma antibody. |
![]() |
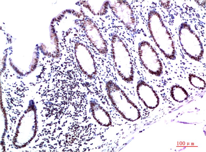
Immunohistochemistry analysis of paraffin-embedded Human Colon Carcinoma Tissue using HP1 gamma antibody.High-pressure and temperature Sodium Citrate pH 6.0 was used for antigen retrieval. |
![]() |
Immunohistochemical analysis of paraffin-embedded Human tonsils using HP1 gamma antibody.High-pressure and temperature Sodium Citrate pH 6.0 was used for antigen retrieval. |
本公司的所有产品仅用于科学研究或者工业应用等非医疗目的,不可用于人类或动物的临床诊断或治疗,非药用,非食用。
暂无评论
本公司的所有产品仅用于科学研究或者工业应用等非医疗目的,不可用于人类或动物的临床诊断或治疗,非药用,非食用。
中文




发表回复