别名:Heat shock cognate 71 kDa protein (Heat shock 70 kDa protein 8)应用:WB,IHC
反应种属:Human,Rat,Mouse
规格:50μl/100μl
| Description |
|---|
| Acts as a repressor of transcriptional activation. Inhibits the transcriptional coactivator activity of CITED1 on Smad-mediated transcription. Chaperone. Component of the PRP19-CDC5L complex that forms an integral part of the spliceosome and is required for activating pre-mRNA splicing. |
| Specification | |
|---|---|
| Aliases | Heat shock cognate 71 kDa protein (Heat shock 70 kDa protein 8) |
| Entrez GeneID | 3312 |
| Swissprot | P11142 |
| clone | 7D2 |
| WB Predicted band size | Calculated MW: 71 kDa; Observed MW: 71 kDa |
| Host/Isotype | Mouse IgG1 |
| Storage | Store at 4°C short term. Aliquot and store at -20°C long term. Avoid freeze/thaw cycles. |
| Species Reactivity | Human,Rat,Mouse |
| Immunogen | Purified recombinant protein expressed in E.coli. |
| Formulation | Liquid in PBS containing 50% glycerol, 0.5% BSA and 0.02% sodium azide, pH 7.3. |
| Application | |
|---|---|
| WB | 1/500-1/1000 |
| IHC | 1/50-1/100 |
![]() |
Western blot analysis of Hsc70 in Hela, A549, HL-60, U2OS, C6 lysates using Hsc70 antibody |
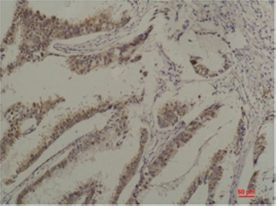
![]() |
Immunohistochemistry analysis of paraffin-embedded Human Breast Caricnoma using Hsc70 antibody.High-pressure and temperature Sodium Citrate pH 6.0 was used for antigen retrieval. |
本公司的所有产品仅用于科学研究或者工业应用等非医疗目的,不可用于人类或动物的临床诊断或治疗,非药用,非食用。
暂无评论
本公司的所有产品仅用于科学研究或者工业应用等非医疗目的,不可用于人类或动物的临床诊断或治疗,非药用,非食用。
中文


发表回复