别名:HSP72; HSPA1; HSP70I; HSPA1B; HSP70-1; HSP70-1A.应用:WB,IHC,ICC
反应种属:Human,Mouse,Rat
规格:50μl/100μl
| Description |
|---|
| In conjuction with other heat shock proteins, this protein stabilizes existing proteins against aggregation and mediates the folding of newly translated proteins in the cytosol and in organelles. It is also involved in the ubiquitin-proteasome pathway through interaction with the AU-rich element RNA-binding protein 1. The gene is located in the major histocompatibility complex class III region, in a cluster with two closely related genes which encode similar proteins. |
| Specification | |
|---|---|
| Aliases | HSP72; HSPA1; HSP70I; HSPA1B; HSP70-1; HSP70-1A. |
| Entrez GeneID | 3303 |
| Swissprot | P0DMV8 |
| clone | 8G9 |
| WB Predicted band size | Calculated MW: 70 kDa; Observed MW: 70 kDa |
| Host/Isotype | Mouse IgG1 |
| Storage | Store at 4°C short term. Aliquot and store at -20°C long term. Avoid freeze/thaw cycles. |
| Species Reactivity | Human,Mouse,Rat |
| Immunogen | Synthetic Peptide of HSP70 |
| Formulation | Liquid in PBS containing 50% glycerol, 0.5% BSA and 0.02% sodium azide, pH 7.3. |
| Application | |
|---|---|
| WB | 1/500-1/1000 |
| IHC | 1/50-1/100 |
| ICC | 1/50-1/200 |
![]() |
Western blot analysis of Hsp70 in MCF-7 and Hela lysates using Hsp70 antibody. |
![]() |
Western blot analysis of Hsp70 1A in Hela, mouse Brain lysates using Hsp70 1A antibody. |
![]() |
Western blot analysis of Hsp70 1A in A549, K562, Hela lysates using Hsp70 1A antibody |
![]() |
Immunofluorescence analysis of Hsp70 1A in Hela using Hsp70 1A antibody(left) ,and DAPI (blue). |
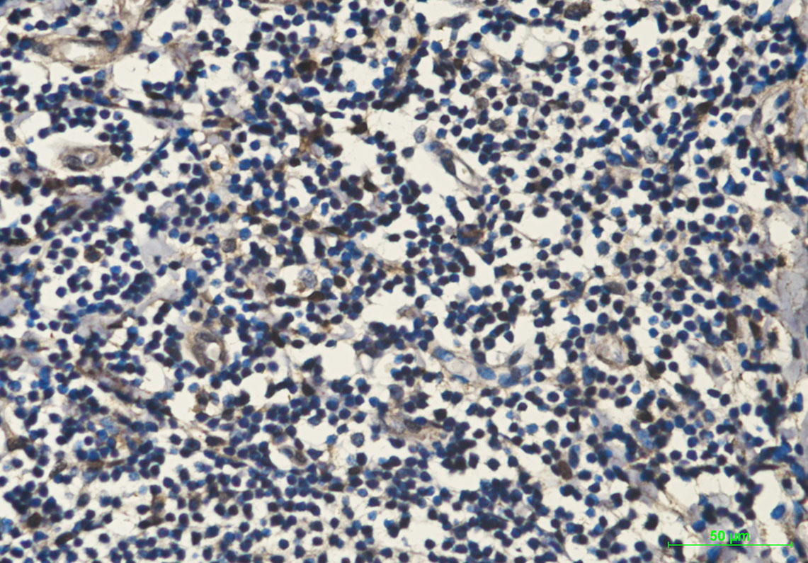
![]() |
Immunohistochemistry analysis of paraffin-embedded Human tonsil tissue using HSP70 antibody.High-pressure and temperature Sodium Citrate pH 6.0 was used for antigen retrieval. |
本公司的所有产品仅用于科学研究或者工业应用等非医疗目的,不可用于人类或动物的临床诊断或治疗,非药用,非食用。
暂无评论
本公司的所有产品仅用于科学研究或者工业应用等非医疗目的,不可用于人类或动物的临床诊断或治疗,非药用,非食用。
中文





发表回复