别名:NFKBIB; IKBB; TRIP9; NF-kappa-B inhibitor beta; NF-kappa-BIB; I-kappa-B-beta; IkB-B; IkB-beta; IkappaBbeta; Thyroid receptor-interacting protein 9; TR-interacting protein 9; TRIP-9应用:IHC
反应种属:Human,Rat,Mouse
规格:50μl/100μl
| Description |
|---|
| kB-beta a protein of the NF-kappa-B inhibitor family. Inhibits NF-kappa-B by complexing with and trapping it in the cytoplasm. However, the unphosphorylated form resynthesized after cell stimulation is able to bind NF-kappa-B allowing its transport to the nucleus and protecting it to further IKBA- dependent inactivation. |
| Specification | |
|---|---|
| Aliases | NFKBIB; IKBB; TRIP9; NF-kappa-B inhibitor beta; NF-kappa-BIB; I-kappa-B-beta; IkB-B; IkB-beta; IkappaBbeta; Thyroid receptor-interacting protein 9; TR-interacting protein 9; TRIP-9 |
| Entrez GeneID | 4793 |
| Swissprot | Q15653 |
| clone | 11F4 |
| Host/Isotype | Mouse IgG1 |
| Storage | Store at 4°C short term. Aliquot and store at -20°C long term. Avoid freeze/thaw cycles. |
| Species Reactivity | Human,Rat,Mouse |
| Immunogen | Purified recombinant protein expressed in E.coli. |
| Formulation | Liquid in PBS containing 50% glycerol, 0.5% BSA and 0.02% sodium azide, pH 7.3. |
| Application | |
|---|---|
| IHC | 1/50-1/100 |
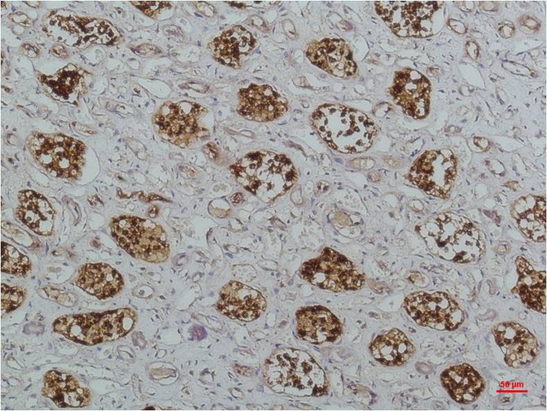
![]() |
Immunohistochemistry analysis of paraffin-embedded Human Lung Carcinoma using IKB beta antibody.High-pressure and temperature Sodium Citrate pH 6.0 was used for antigen retrieval. |
![]() |
Immunohistochemical analysis of paraffin-embedded Human tonsils using IKB beta antibody.High-pressure and temperature Sodium Citrate pH 6.0 was used for antigen retrieval. |
本公司的所有产品仅用于科学研究或者工业应用等非医疗目的,不可用于人类或动物的临床诊断或治疗,非药用,非食用。
暂无评论
本公司的所有产品仅用于科学研究或者工业应用等非医疗目的,不可用于人类或动物的临床诊断或治疗,非药用,非食用。
中文


发表回复