别名:ITGA2B; GP2B; ITGAB; Integrin alpha-IIb; GPalpha IIb; GPIIb; Platelet membrane glycoprotein IIb; CD41应用:IHC
反应种属:Human
规格:50μl/100μl
| Description |
|---|
| Integrin alpha-IIb/beta-3 is a receptor for fibronectin, fibrinogen, plasminogen, prothrombin, thrombospondin and vitronectin. It recognizes the sequence R-G-D in a wide array of ligands. It recognizes the sequence H-H-L-G-G-G-A-K-Q-A-G-D-V in fibrinogen gamma chain. |
| Specification | |
|---|---|
| Aliases | ITGA2B; GP2B; ITGAB; Integrin alpha-IIb; GPalpha IIb; GPIIb; Platelet membrane glycoprotein IIb; CD41 |
| Entrez GeneID | 3674 |
| Swissprot | P08514 |
| clone | 10F7 |
| Host/Isotype | Mouse IgG1 |
| Storage | Store at 4°C short term. Aliquot and store at -20°C long term. Avoid freeze/thaw cycles. |
| Species Reactivity | Human |
| Immunogen | Synthetic Peptide of CD41 |
| Formulation | Liquid in PBS containing 50% glycerol, 0.5% BSA and 0.02% sodium azide, pH 7.3. |
| Application | |
|---|---|
| IHC | 1/50-1/100 |
![]() |
Immunohistochemistry analysis of paraffin-embedded Human breastcancer tissue using Integrin alpha Iib antibody.High-pressure and temperature Sodium Citrate pH 6.0 was used for antigen retrieval.Negative control was used by secondary antibody only. |
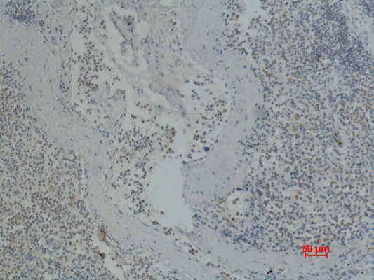
![]() |
Immunohistochemical analysis of paraffin-embedded Human tonsils using Integrin alpha Iib antibody.High-pressure and temperature Sodium Citrate pH 6.0 was used for antigen retrieval. |
本公司的所有产品仅用于科学研究或者工业应用等非医疗目的,不可用于人类或动物的临床诊断或治疗,非药用,非食用。
暂无评论
本公司的所有产品仅用于科学研究或者工业应用等非医疗目的,不可用于人类或动物的临床诊断或治疗,非药用,非食用。
中文


发表回复