别名:AI849689; c Jun N terminal kinase 1; C-JUN kinase 1; c-Jun N-terminal kinase 1; EC 2.7.11.24; JAK 1A; JAK1A; JNK 1; JNK 46; JNK; JNK-46; JNK1A2; JNK21B1/2; MAP kinase 8; MAPK 8; MAPK8; Mitogen activated protein kinase 8; Mitogen-activated protein kinase 8; MK08_HUMAN; p54 gamma; PRKM 8; PRKM8; Protein kinase JNK1; Protein kinase; mitogen-activated; 8; SAPK 1; SAPK gamma; SAPK1; Stress activated protein kinase JNK1; Stress-activated protein kinase 1; Stress-activated protein kinase JNK1; Tyrosine protein kinase JAK1 .应用:WB,ICC
反应种属:Human,Mouse,Rat
规格:50μl/100μl
| Description |
|---|
| The protein encoded by this gene is a member of the MAP kinase family. MAP kinases act as an integration point for multiple biochemical signals, and are involved in a wide variety of cellular processes such as proliferation, differentiation, transcription regulation and development. This kinase is activated by various cell stimuli, and targets specific transcription factors, and thus mediates immediate-early gene expression in response to cell stimuli. The activation of this kinase by tumor-necrosis factor alpha (TNF-alpha) is found to be required for TNF-alpha induced apoptosis. This kinase is also involved in UV radiation induced apoptosis, which is thought to be related to cytochrom c-mediated cell death pathway. Studies of the mouse counterpart of this gene suggested that this kinase play a key role in T cell proliferation, apoptosis and differentiation. Several alternatively spliced transcript variants encoding distinct isoforms have been reported. [provided by RefSeq, Apr 2016] |
| Specification | |
|---|---|
| Aliases | AI849689; c Jun N terminal kinase 1; C-JUN kinase 1; c-Jun N-terminal kinase 1; EC 2.7.11.24; JAK 1A; JAK1A; JNK 1; JNK 46; JNK; JNK-46; JNK1A2; JNK21B1/2; MAP kinase 8; MAPK 8; MAPK8; Mitogen activated protein kinase 8; Mitogen-activated protein kinase 8; MK08_HUMAN; p54 gamma; PRKM 8; PRKM8; Protein kinase JNK1; Protein kinase; mitogen-activated; 8; SAPK 1; SAPK gamma; SAPK1; Stress activated protein kinase JNK1; Stress-activated protein kinase 1; Stress-activated protein kinase JNK1; Tyrosine protein kinase JAK1 . |
| Entrez GeneID | 5599 |
| Swissprot | P45983 |
| clone | 1C7 |
| WB Predicted band size | Calculated MW: 48 kDa; Observed MW: 46,54 kDa |
| Host/Isotype | Mouse IgG2a |
| Storage | Store at 4°C short term. Aliquot and store at -20°C long term. Avoid freeze/thaw cycles. |
| Species Reactivity | Human,Mouse,Rat |
| Immunogen | Purified recombinant human JNK1 protein fragments expressed in E.coli. |
| Formulation | Liquid in PBS containing 50% glycerol, 0.5% BSA and 0.02% sodium azide, pH 7.3. |
| Application | |
|---|---|
| WB | 1/500-1/1000 |
| ICC | 1/50-1/200 |
![]() |
Western blot analysis of JNK1 in C6 and 3T3 lysates using JNK1 antibody. |
![]() |
Western blot analysis of JNK1 in CHO-K1 cell lysates(B) and CHO-K1 transfected by JNK1fragment fusion protein(A) cell lysates using JNK1 antibody. |
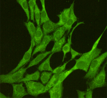
![]() |
Immunofluorescence analysis of JNK1 in 3T3 using JNK1 antibody. |
本公司的所有产品仅用于科学研究或者工业应用等非医疗目的,不可用于人类或动物的临床诊断或治疗,非药用,非食用。
暂无评论
本公司的所有产品仅用于科学研究或者工业应用等非医疗目的,不可用于人类或动物的临床诊断或治疗,非药用,非食用。
中文



发表回复