别名:kinesin like protein KIF7; EQYK340; kif7应用:IHC,ICC
反应种属:Human,Mouse,Rat
规格:50μl/100μl
| Description |
|---|
| Essential for hedgehog signaling regulation: acts as both a negative and positive regulator of sonic hedgehog (Shh) and Indian hedgehog (Ihh) pathways, acting downstream of SMO, through both SUFU-dependent and -independent mechanisms (PubMed:21633164). Involved in the regulation of microtubular dynamics. Required for proper organization of the ciliary tip and control of ciliary localization of SUFU-GLI2 complexes . Required for localization of GLI3 to cilia in response to Shh. Negatively regulates Shh signaling by preventing inappropriate activation of the transcriptional activator GLI2 in the absence of ligand. Positively regulates Shh signaling by preventing the processing of the transcription factor GLI3 into its repressor form. In keratinocytes, promotes the dissociation of SUFU-GLI2 complexes, GLI2 nuclear translocation and Shh signaling activation . Involved in the regulation of epidermal differentiation and chondrocyte development . |
| Specification | |
|---|---|
| Aliases | kinesin like protein KIF7; EQYK340; kif7 |
| Entrez GeneID | 374654 |
| Swissprot | Q2M1P5 |
| clone | 3C8 |
| Host/Isotype | Mouse IgG1 |
| Storage | Store at 4°C short term. Aliquot and store at -20°C long term. Avoid freeze/thaw cycles. |
| Species Reactivity | Human,Mouse,Rat |
| Immunogen | Synthetic Peptide of Kif 7 |
| Formulation | Liquid in PBS containing 50% glycerol, 0.5% BSA and 0.02% sodium azide, pH 7.3. |
| Application | |
|---|---|
| IHC | 1/50-1/100 |
| ICC | 1/50-1/200 |
![]() |
Immunofluorescence analysis of KIF7 in mouse colon using KIF7 antibody(red),and DAPI (blue). |
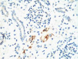
![]() |
Immunohistochemistry analysis of paraffin-embedded mouse Kidney tissue using KIF7 antibody.High-pressure and temperature Sodium Citrate pH 6.0 was used for antigen retrieval. |
本公司的所有产品仅用于科学研究或者工业应用等非医疗目的,不可用于人类或动物的临床诊断或治疗,非药用,非食用。
暂无评论
本公司的所有产品仅用于科学研究或者工业应用等非医疗目的,不可用于人类或动物的临床诊断或治疗,非药用,非食用。
中文


发表回复