别名:AKT1; PKB; RAC; RAC-alpha serine/threonine-protein kinase; Protein kinase B; PKB; Protein kinase B alpha; PKB alpha; Proto-oncogene c-Akt; RAC-PK-alpha应用:WB,IHC
反应种属:Human
规格:50μl/100μl
| Description |
|---|
| Akt, also referred to as PKB or Rac, plays a critical role in controlling survival and apoptosis. This protein kinase is activated by insulin and various growth and survival factors to function in a wortmannin-sensitive pathway involving PI3 kinase. Akt is activated by phospholipid binding and activation loop phosphorylation at Thr308 by PDK1 and by phosphorylation within the carboxy terminus at Ser473. |
| Specification | |
|---|---|
| Aliases | AKT1; PKB; RAC; RAC-alpha serine/threonine-protein kinase; Protein kinase B; PKB; Protein kinase B alpha; PKB alpha; Proto-oncogene c-Akt; RAC-PK-alpha |
| Entrez GeneID | 207 |
| Swissprot | P31749 |
| clone | 8C4 |
| WB Predicted band size | Calculated MW: 56 kDa; Observed MW: 60 kDa |
| Host/Isotype | Mouse IgG1 |
| Storage | Store at 4°C short term. Aliquot and store at -20°C long term. Avoid freeze/thaw cycles. |
| Species Reactivity | Human |
| Immunogen | Synthetic peptide conjugated to KLH. |
| Formulation | Liquid in PBS containing 50% glycerol, 0.5% BSA and 0.02% sodium azide, pH 7.3. |
| Application | |
|---|---|
| WB | 1/500-1/1000 |
| IHC | 1/50-1/100 |
![]() |
Western blot analysis of Phospho-AKT (Ser473) in PC-3 lysates using Phospho-AKT (Ser473) antibody. |
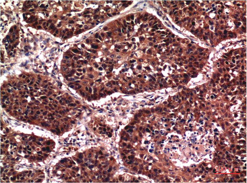
![]() |
Immunohistochemistry analysis of paraffin-embedded Human Lung Carcinoma Tissue using Phospho-Akt Ser473 antibody.High-pressure and temperature Sodium Citrate pH 6.0 was used for antigen retrieval. |
本公司的所有产品仅用于科学研究或者工业应用等非医疗目的,不可用于人类或动物的临床诊断或治疗,非药用,非食用。
暂无评论
本公司的所有产品仅用于科学研究或者工业应用等非医疗目的,不可用于人类或动物的临床诊断或治疗,非药用,非食用。
中文


发表回复