别名:MAPK1/MAPK3应用:IHC
反应种属:Human,Rat,Mouse
规格:50μl/100μl
| Description |
|---|
| Serine/threonine kinase which acts as an essential component of the MAP kinase signal transduction pathway. MAPK1/ERK2 and MAPK3/ERK1 are the 2 MAPKs which play an important role in the MAPK/ERK cascade. They participate also in a signaling cascade initiated by activated KIT and KITLG/SCF. Depending on the cellular context, the MAPK/ERK cascade mediates diverse biological functions such as cell growth, adhesion, survival and differentiation through the regulation of transcription, translation, cytoskeletal rearrangements. |
| Specification | |
|---|---|
| Aliases | MAPK1/MAPK3 |
| Entrez GeneID | 5595/5594 |
| Swissprot | P27361/P28482 |
| clone | 1H7 |
| Host/Isotype | Mouse IgG1 |
| Storage | Store at 4°C short term. Aliquot and store at -20°C long term. Avoid freeze/thaw cycles. |
| Species Reactivity | Human,Rat,Mouse |
| Immunogen | Synthetic peptide conjugated to KLH. |
| Formulation | Liquid in PBS containing 50% glycerol, 0.5% BSA and 0.02% sodium azide, pH 7.3. |
| Application | |
|---|---|
| IHC | 1/50-1/100 |
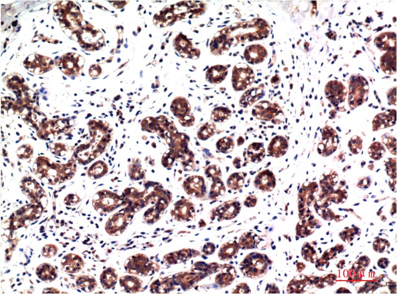
![]() |
Immunohistochemistry analysis of paraffin-embedded Human Colon Carcinoma Tissue using Phospho-ERK1/2 (Tyr222/Tyr205) antibody.High-pressure and temperature Sodium Citrate pH 6.0 was used for antigen retrieval. |
![]() |
Immunohistochemical analysis of paraffin-embedded Human tonsils using Phospho-ERK1/2 (Tyr222/Tyr205) antibody.High-pressure and temperature Sodium Citrate pH 6.0 was used for antigen retrieval. |
本公司的所有产品仅用于科学研究或者工业应用等非医疗目的,不可用于人类或动物的临床诊断或治疗,非药用,非食用。
暂无评论
本公司的所有产品仅用于科学研究或者工业应用等非医疗目的,不可用于人类或动物的临床诊断或治疗,非药用,非食用。
中文


发表回复