别名:Serine/threonine-protein kinase PINK1, mitochondrial, BRPK, PTEN-induced putative kinase protein 1, PINK1应用:WB,IHC
反应种属:Human, Mouse
规格:50μl/100μl
| Description |
|---|
| This gene encodes a serine/threonine protein kinase that localizes to mitochondria. It is thought to protect cells from stress-induced mitochondrial dysfunction. Mutations in this gene cause one form of autosomal recessive early-onset Parkinson disease. |
| Specification | |
|---|---|
| Aliases | Serine/threonine-protein kinase PINK1, mitochondrial, BRPK, PTEN-induced putative kinase protein 1, PINK1 |
| Entrez GeneID | 65018 |
| Swissprot | Q9BXM7 |
| WB Predicted band size | 62.8kDa |
| Host/Isotype | Mouse IgG1 |
| Storage | Store at 4°C short term. Aliquot and store at -20°C long term. Avoid freeze/thaw cycles. |
| Species Reactivity | Human, Mouse |
| Immunogen | Recombinant PINK1 protein was used to produced this monoclonal antibody. |
| Formulation | Mouse monoclonal antibody supplied in crude ascites with 0.05% sodium azide. |
| Application | |
|---|---|
| WB | 1/500-1/2000 |
| IHC | 1/100-1/500 |
![]() |
Western blot analysis of anti-PINK1 Monoclonal Antibody (P30246) in mouse brain tissue lysates. PINK1(arrow) was detected using the ascites Mab. (dilution 1:500) |
![]() |
Western blot analysis of PINK (arrow) using mouse monoclonal PINK antibody(Ascites). 293 cell lysates (2 μg/lane) either nontransfected (Lane 1) or transiently transfected with the PINK gene (Lane 2) (Origene Technologies) (1:2000) |
![]() |
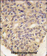
Formalin-fixed and paraffin-embedded human hepatocarcinoma tissue reacted with PINK1 Monoclonal Antibody (Cat.#P30246), which was peroxidase-conjugated to the secondary antibody, followed by DAB staining. This data demonstrates the use of this antibody for immunohistochemistry; clinical relevance has not been evaluated. |
![]() |
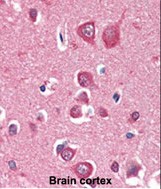
Formalin-fixed and paraffin-embedded human Brain Cortex tissue reacted with PINK1 Monoclonal Antibody (Cat.#P30246), which was peroxidase-conjugated to the secondary antibody, followed by AEC staining. This data demonstrates the use of this antibody for immunohistochemistry; clinical relevance has not been evaluated. |
本公司的所有产品仅用于科学研究或者工业应用等非医疗目的,不可用于人类或动物的临床诊断或治疗,非药用,非食用。
暂无评论
本公司的所有产品仅用于科学研究或者工业应用等非医疗目的,不可用于人类或动物的临床诊断或治疗,非药用,非食用。
中文




发表回复