别名:PP4; PPX; PP4C; PPH3; PPP4应用:WB,IHC,ICC
反应种属:Human
规格:50μl/100μl
| Description |
|---|
| In eukaryotes, the phosphorylation and dephosphorylation of proteins on serine and threonine residues is an essential means of regulating a broad range of cellular functions, including division, homeostasis and apoptosis. A group of proteins that are intimately involved in this process are the protein phosphatases. In general, the protein phosphatase (PP) holoenzyme is a trimeric complex composed of a regulatory subunit, a variable subunit and a catalytic subunit. Four major families of protein phosphatase catalytic subunits have been identified, designated PP1, PP2A, PP2B (calcineurin) and PP2C. An additional protein phosphatase catalytic subunit, PPX (also known as PP4) is a putative member of a novel PP family. |
| Specification | |
|---|---|
| Aliases | PP4; PPX; PP4C; PPH3; PPP4 |
| Entrez GeneID | 5531 |
| Swissprot | P60510 |
| clone | 2H8 |
| WB Predicted band size | Calculated MW: 35 kDa; Observed MW: 35 kDa |
| Host/Isotype | Mouse IgG2a |
| Storage | Store at 4°C short term. Aliquot and store at -20°C long term. Avoid freeze/thaw cycles. |
| Species Reactivity | Human |
| Immunogen | Purified recombinant human Protein Phosphatase 4C protein fragments expressed in E.coli. |
| Formulation | Liquid in PBS containing 50% glycerol, 0.5% BSA and 0.02% sodium azide, pH 7.3. |
| Application | |
|---|---|
| WB | 1/500-1/1000 |
| IHC | 1/50-1/100 |
| ICC | 1/50-1/200 |
![]() |
Western blot analysis of Protein Phosphatase 4C in Hela and Jurkat lysates using Protein Phosphatase 4C antibody. |
![]() |
Immunocytochemistry analysis of PPP4C in HeLa cells using PPP4C antibody. |
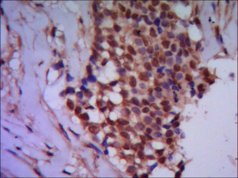
![]() |
Immunohistochemistry analysis of paraffin-embedded Human breast cancer using Protein Phosphatase 4C antibody. High-pressure and temperature Sodium Citrate pH 6.0 was used for antigen retrieval. |
本公司的所有产品仅用于科学研究或者工业应用等非医疗目的,不可用于人类或动物的临床诊断或治疗,非药用,非食用。
暂无评论
本公司的所有产品仅用于科学研究或者工业应用等非医疗目的,不可用于人类或动物的临床诊断或治疗,非药用,非食用。
中文



发表回复