别名:Prealbumin; TBPA; Amyloidosis I; Transthyretin应用:WB,IHC
反应种属:Human
规格:50μl/100μl
| Description |
|---|
| Thyroid hormone-binding protein. Probably transports thyroxine from the bloodstream to the brain. |
| Specification | |
|---|---|
| Aliases | Prealbumin; TBPA; Amyloidosis I; Transthyretin |
| Entrez GeneID | 7276 |
| Swissprot | P02766 |
| clone | 2H8 |
| WB Predicted band size | Calculated MW: 16 kDa; Observed MW: 16 kDa |
| Host/Isotype | Mouse IgG1 |
| Storage | Store at 4°C short term. Aliquot and store at -20°C long term. Avoid freeze/thaw cycles. |
| Species Reactivity | Human |
| Immunogen | Purified recombinant protein expressed in E.coli. |
| Formulation | Liquid in PBS containing 50% glycerol, 0.5% BSA and 0.02% sodium azide, pH 7.3. |
| Application | |
|---|---|
| WB | 1/500-1/1000 |
| IHC | 1/50-1/100 |
![]() |
Western blot analysis of Prealbumin in Hela, Jurkat, mouse brain, MOLT4, Human serum lysates using Prealbumin antibody |
![]() |
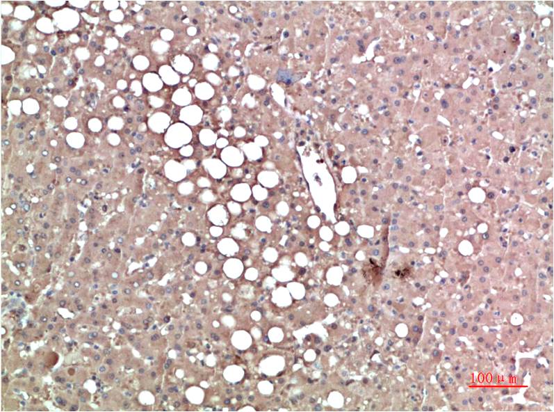
Immunohistochemistry analysis of paraffin-embedded Human Liver Carcinoma Tissue using Prealbumin antibody.High-pressure and temperature Sodium Citrate pH 6.0 was used for antigen retrieval. |
![]() |
Immunohistochemical analysis of paraffin-embedded Human tonsils using Prealbumin antibody.High-pressure and temperature Sodium Citrate pH 6.0 was used for antigen retrieval. |
本公司的所有产品仅用于科学研究或者工业应用等非医疗目的,不可用于人类或动物的临床诊断或治疗,非药用,非食用。
暂无评论
本公司的所有产品仅用于科学研究或者工业应用等非医疗目的,不可用于人类或动物的临床诊断或治疗,非药用,非食用。
中文



发表回复