别名:PGR; NR3C3; Progesterone receptor; PR; Nuclear receptor subfamily 3 group C member 3应用:IHC,ICC
反应种属:Human,Mouse,Rat
规格:50μl/100μl
| Description |
|---|
| Progesterone plays a central role in the reproductive events associated with the establishment and maintenance of pregnancy. Progesterone receptor, a member of the steroid receptor superfamily, mediates the physiologic effects of progesterone. |
| Specification | |
|---|---|
| Aliases | PGR; NR3C3; Progesterone receptor; PR; Nuclear receptor subfamily 3 group C member 3 |
| Entrez GeneID | 5241 |
| Swissprot | P06401 |
| clone | 9F4 |
| Host/Isotype | Mouse IgG1 |
| Storage | Store at 4°C short term. Aliquot and store at -20°C long term. Avoid freeze/thaw cycles. |
| Species Reactivity | Human,Mouse,Rat |
| Immunogen | Synthetic Peptide of PR |
| Formulation | Liquid in PBS containing 50% glycerol, 0.5% BSA and 0.02% sodium azide, pH 7.3. |
| Application | |
|---|---|
| IHC | 1/50-1/100 |
| ICC | 1/50-1/200 |
![]() |
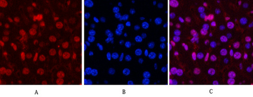
Immunofluorescence analysis of Progesterone Receptor in Human appendix tissue using Progesterone Receptor antibody(Z15)(red),and DAPI (blue). |
![]() |
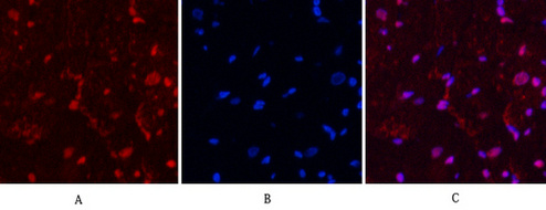
Immunofluorescence analysis of Progesterone Receptor in mouse liver using PR antibody(Z15)(red),and DAPI (blue). |
![]() |
Immunofluorescence analysis of Progesterone Receptor in rat heart using Progesterone Receptor antibody(red),and DAPI (blue). |
![]() |
Immunohistochemistry analysis of paraffin-embedded Human uterus tissue using Progesterone Receptor antibody.High-pressure and temperature Sodium Citrate pH 6.0 was used for antigen retrieval.Negative control was used by secondary antibody only. |
![]() |
Immunohistochemical analysis of paraffin-embedded Human tonsils using Progesterone Receptor antibody.High-pressure and temperature Sodium Citrate pH 6.0 was used for antigen retrieval.Negative control was used by secondary antibody only. |
![]() |
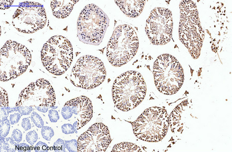
Immunohistochemistry analysis of paraffin-embedded mouse testis tissue using PR antibody. High-pressure and temperature Sodium Citrate pH 6.0 was used for antigen retrieval. Negative control was used by secondary antibody only. |
本公司的所有产品仅用于科学研究或者工业应用等非医疗目的,不可用于人类或动物的临床诊断或治疗,非药用,非食用。
暂无评论
本公司的所有产品仅用于科学研究或者工业应用等非医疗目的,不可用于人类或动物的临床诊断或治疗,非药用,非食用。
中文






发表回复