别名:RAD23B; UV excision repair protein RAD23 homolog B; HR23B; hHR23B; XP-C repair-complementing complex 58 kDa protein; p58应用:WB,IHC,ICC
反应种属:Human,Mouse,Rat,Monkey,Hamster
规格:50μl/100μl
| Description |
|---|
| The protein encoded by this gene is one of two human homologs of Saccharomyces cerevisiae Rad23, a protein involved in the nucleotide excision repair (NER). This protein was found to be a component of the protein complex that specifically complements the NER defect of xeroderma pigmentosum group C (XP-c) cell extracts in vitro. This protein was also shown to interact with, and elevate the nucleotide excision activity of 3-methyladenine-DNA glycosylase (MPG), which suggested a role in DNA damage recognition in base excision repair. This protein contains an N-terminal ubiquitin-like domain, which was reported to interact with 26S proteasome, and thus this protein may be involved in the ubiquitin mediated proteolytic pathway in cells. Alternative splicing results in multiple transcript variants encoding distinct isoforms. |
| Specification | |
|---|---|
| Aliases | RAD23B; UV excision repair protein RAD23 homolog B; HR23B; hHR23B; XP-C repair-complementing complex 58 kDa protein; p58 |
| Entrez GeneID | 5887 |
| Swissprot | P54727 |
| clone | 7D11 |
| WB Predicted band size | Calculated MW: 43 kDa; Observed MW: 58 kDa |
| Host/Isotype | Mouse IgG2b |
| Storage | Store at 4°C short term. Aliquot and store at -20°C long term. Avoid freeze/thaw cycles. |
| Species Reactivity | Human,Mouse,Rat,Monkey,Hamster |
| Immunogen | Purified recombinant human hHR23b protein fragments expressed in E.coli. |
| Formulation | Liquid in PBS containing 50% glycerol, 0.5% BSA and 0.02% sodium azide, pH 7.3. |
| Application | |
|---|---|
| WB | 1/500-1/1000 |
| IHC | 1/50-1/100 |
| ICC | 1/50-1/200 |
![]() |
Western blot analysis of hHR23b in A431, K562, Jurkat, C6, 3T3 and Hela lysates using hHR23b antibody. |
![]() |
Western blot analysis of Rad23B in K562, SW480, CHO-K1, 3T3 and COS7 lysates using Rad23B antibody |
![]() |
Immunocytochemistry analysis of Rad23B in HeLa using hHR23b antibody. |
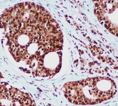
![]() |
Immunohistochemistry analysis of paraffin-embedded Prostate Cancer using hHR23b antibody. High-pressure and temperature Sodium Citrate pH 6.0 was used for antigen retrieval. |
本公司的所有产品仅用于科学研究或者工业应用等非医疗目的,不可用于人类或动物的临床诊断或治疗,非药用,非食用。
暂无评论
本公司的所有产品仅用于科学研究或者工业应用等非医疗目的,不可用于人类或动物的临床诊断或治疗,非药用,非食用。
中文




发表回复