别名:Serpin H1, 47 kDa heat shock protein, Collagen-binding protein, Colligin, GP46, Serpinh1, Cbp1, Hsp47应用:WB,IHC
反应种属:Human, Mouse
规格:50μl/100μl
| Specification | |
|---|---|
| Aliases | Serpin H1, 47 kDa heat shock protein, Collagen-binding protein, Colligin, GP46, Serpinh1, Cbp1, Hsp47 |
| Entrez GeneID | 29345 |
| Swissprot | P29457 |
| WB Predicted band size | 46.5kDa |
| Host/Isotype | Mouse IgG1 |
| Storage | Store at 4°C short term. Aliquot and store at -20°C long term. Avoid freeze/thaw cycles. |
| Species Reactivity | Human, Mouse |
| Immunogen | This Rat Serpinh1 antibody is generated from mice immunized with a KLH conjugated synthetic peptide between 222-251 amino acids from the Central region of rat Serpinh1. |
| Formulation | Mouse monoclonal antibody supplied in crude ascites with 0.05% sodium azide. |
| Application | |
|---|---|
| WB | 1/4000 |
| IHC | 1/100-1/500 |
![]() |
Anti-Rat Serpinh1 Antibody (Center) (Ascites) at 1:4000 dilution + rat heart lysate Secondary Goat Anti-mouse IgG, (H+L),Peroxidase conjugated at 1/10000 dilution. Predicted band size : 46518 Da Blocking/Dilution buffer: 5% NFDM/TBST. |
![]() |
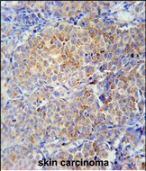
RAT Serpinh1 Antibody (Center)(Ascites) (Cat. #AM1834b) immunohistochemistry analysis in formalin fixed and paraffin embedded human skin carcinoma followed by peroxidase conjugation of the secondary antibody and DAB staining. This data demonstrates the use of the RAT Serpinh1 Antibody (Center)(Ascites) for immunohistochemistry. Clinical relevance has not been evaluated. |
本公司的所有产品仅用于科学研究或者工业应用等非医疗目的,不可用于人类或动物的临床诊断或治疗,非药用,非食用。
暂无评论
本公司的所有产品仅用于科学研究或者工业应用等非医疗目的,不可用于人类或动物的临床诊断或治疗,非药用,非食用。
中文


发表回复