别名:40S ribosomal protein S6, Phosphoprotein NP33, RPS6应用:WB,IHC,ICC,FCM
反应种属:Human, Mouse, Rat
规格:50μl/100μl
| Description |
|---|
| May play an important role in controlling cell growth and proliferation through the selective translation of particular classes of mRNA. |
| Specification | |
|---|---|
| Aliases | 40S ribosomal protein S6, Phosphoprotein NP33, RPS6 |
| Entrez GeneID | 6194 |
| Swissprot | P62753 |
| WB Predicted band size | 28.7kDa |
| Host/Isotype | Mouse IgG1 |
| Storage | Store at 4°C short term. Aliquot and store at -20°C long term. Avoid freeze/thaw cycles. |
| Species Reactivity | Human, Mouse, Rat |
| Immunogen | This RPS6 antibody is generated from a mouse immunized with RPS6 recombinant protein. |
| Application | |
|---|---|
| WB | 1/1000 |
| IHC | 1/100-1/500 |
| ICC | 1/25 |
| FCM | 1/25 |
![]() |
Western blot analysis of lysates from 293, Hela, mouse NIH/3T3, rat PC-12 cell line and rat brain tissue lysate(from left to right), using RPS6 Antibody (N-term)(Cat. #P32631). P32631 was diluted at 1:2000 at each lane. A goat anti-mouse IgG H&L(HRP) at 1:3000 dilution was used as the secondary antibody. Lysates at 35μg per lane. |
![]() |
Fluorescent image of Hela cells stained with RPS6 Antibody (N-term)(Cat#P32631). P32631 was diluted at 1:25 dilution. An Alexa Fluor® 488-conjugated goat anti-mouse lgG at 1:400 dilution was used as the secondary antibody (green). Cytoplasmic actin was counterstained with Alexa Fluor® 555 conjugated with Phalloidin (red). |
![]() |
Flow cytometric analysis of Hela cells using RPS6 Antibody (N-term)(green, Cat#P32631) compared to an isotype control of mouse IgG1(blue). P32631 was diluted at 1:25 dilution. An Alexa Fluor® 488 goat anti-mouse lgG at 1:400 dilution was used as the secondary antibody. |
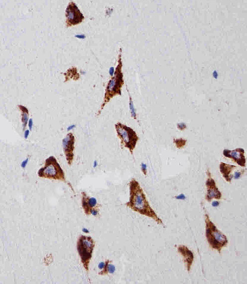
![]() |
Immunohistochemical analysis of paraffin-embedded H. brain section using RPS6 Antibody (N-term)(Cat#P32631). P32631 was diluted at 1:25 dilution. A peroxidase-conjugated goat anti-mouse IgG at 1:400 dilution was used as the secondary antibody, followed by DAB staining. |
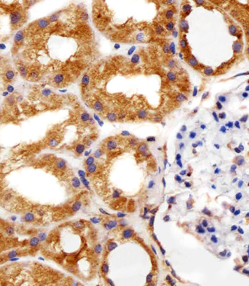
![]() |
Immunohistochemical analysis of paraffin-embedded H. kidney section using RPS6 Antibody (N-term)(Cat#P32631). P32631 was diluted at 1:25 dilution. A peroxidase-conjugated goat anti-mouse IgG at 1:400 dilution was used as the secondary antibody, followed by DAB staining. |
![]() |
Immunohistochemical analysis of paraffin-embedded H. kidney section using RPS6 Antibody (N-term)(Cat#P32631). P32631 was diluted at 1:25 dilution. A peroxidase-conjugated goat anti-mouse IgG at 1:400 dilution was used as the secondary antibody, followed by DAB staining. |
![]() |
Immunohistochemical analysis of paraffin-embedded H. kidney section using RPS6 Antibody (N-term)(Cat#P32631). P32631 was diluted at 1:25 dilution. A peroxidase-conjugated goat anti-mouse IgG at 1:400 dilution was used as the secondary antibody, followed by DAB staining. |
本公司的所有产品仅用于科学研究或者工业应用等非医疗目的,不可用于人类或动物的临床诊断或治疗,非药用,非食用。
暂无评论
本公司的所有产品仅用于科学研究或者工业应用等非医疗目的,不可用于人类或动物的临床诊断或治疗,非药用,非食用。
中文







发表回复