别名:Regulatory-associated protein of mTOR, Raptor, p150 target of rapamycin (TOR)-scaffold protein, RPTOR, KIAA1303, RAPTOR应用:WB,IHC
反应种属:Human, Mouse, Rat
规格:50μl/100μl
| Description |
|---|
| Involved in the control of the mammalian target of rapamycin complex 1 (mTORC1) activity which regulates cell growth and survival, and autophagy in response to nutrient and hormonal signals; functions as a scaffold for recruiting mTORC1 substrates. mTORC1 is activated in response to growth factors or amino acids. Growth factor-stimulated mTORC1 activation involves a AKT1- mediated phosphorylation of TSC1-TSC2, which leads to the activation of the RHEB GTPase that potently activates the protein kinase activity of mTORC1. Amino acid-signaling to mTORC1 requires its relocalization to the lysosomes mediated by the Ragulator complex and the Rag GTPases. Activated mTORC1 up-regulates protein synthesis by phosphorylating key regulators of mRNA translation and ribosome synthesis. mTORC1 phosphorylates EIF4EBP1 and releases it from inhibiting the elongation initiation factor 4E (eiF4E). mTORC1 phosphorylates and activates S6K1 at ‘Thr-389’, which then promotes protein synthesis by phosphorylating PDCD4 and targeting it for degradation. Involved in ciliogenesis. |
| Specification | |
|---|---|
| Aliases | Regulatory-associated protein of mTOR, Raptor, p150 target of rapamycin (TOR)-scaffold protein, RPTOR, KIAA1303, RAPTOR |
| Entrez GeneID | 57521 |
| Swissprot | Q8N122 |
| WB Predicted band size | 149kDa |
| Host/Isotype | Mouse IgG1 |
| Storage | Store at 4°C short term. Aliquot and store at -20°C long term. Avoid freeze/thaw cycles. |
| Species Reactivity | Human, Mouse, Rat |
| Immunogen | This RPTOR antibody is generated from a mouse immunized with recombinant protein. |
| Application | |
|---|---|
| WB | 1/500-1/1000 |
| IHC | 1/100-1/500 |
![]() |
Western blot analysis of lysates from Hela, MCF-7, mouse C2C12, mouse NIH/3T3, rat C6 cell line (from left to right), using RPTOR Antibody(Cat. #P32782). P32782 was diluted at 1:1000 at each lane. A goat anti-mouse IgG H&L(HRP) at 1:10000 dilution was used as the secondary antibody. Lysates at 20μg per lane. |
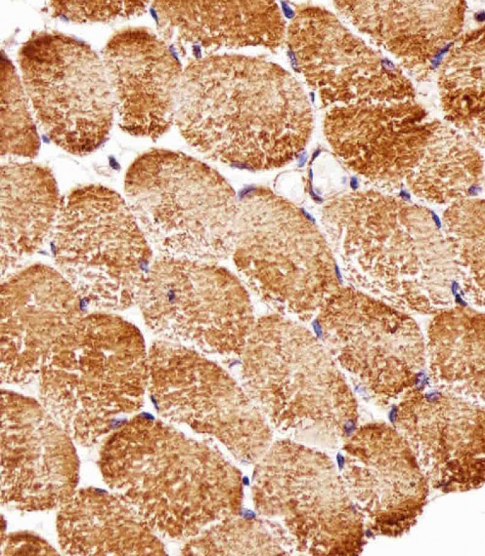
![]() |
Immunohistochemical analysis of paraffin-embedded H. skeletal muscle section using RPTOR Antibody(Cat#P32782). P32782 was diluted at 1:25 dilution. A undiluted biotinylated goat polyvalent antibody was used as the secondary, followed by DAB staining. |
本公司的所有产品仅用于科学研究或者工业应用等非医疗目的,不可用于人类或动物的临床诊断或治疗,非药用,非食用。
暂无评论
本公司的所有产品仅用于科学研究或者工业应用等非医疗目的,不可用于人类或动物的临床诊断或治疗,非药用,非食用。
中文


发表回复