别名:SMAD3; MADH3; Mothers against decapentaplegic homolog 3; MAD homolog 3; Mad3; Mothers against DPP homolog 3; hMAD-3; JV15-2; SMAD family member 3; SMAD 3; Smad3; hSMAD3应用:WB,IHC
反应种属:Human,Rat,Mouse
规格:50μl/100μl
| Description |
|---|
| Members of the Smad family of signal transduction molecules are components of a critical intracellular pathway that transmit TGF-β signals from the cell surface into the nucleus. Three distinct classes of Smads have been defined: the receptor-regulated Smads (R-Smads), which include Smad1, 2, 3, 5, and 8; the common-mediator Smad (co-Smad), Smad4; and the antagonistic or inhibitory Smads (I-Smads), Smad6 and 7 . Activated type I receptors associate with specific R-Smads and phosphorylate them on a conserved carboxy terminal SSXS motif. The phosphorylated R-Smad dissociates from the receptor and forms a heteromeric complex with the co-Smad (Smad4), allowing translocation of the complex to the nucleus. Once in the nucleus, Smads can target a variety of DNA binding proteins to regulate transcriptional responses . |
| Specification | |
|---|---|
| Aliases | SMAD3; MADH3; Mothers against decapentaplegic homolog 3; MAD homolog 3; Mad3; Mothers against DPP homolog 3; hMAD-3; JV15-2; SMAD family member 3; SMAD 3; Smad3; hSMAD3 |
| Entrez GeneID | 4087/4088 |
| Swissprot | P84022/Q15796 |
| clone | 6H7 |
| WB Predicted band size | Calculated MW: 52 kDa; Observed MW: 52,60 kDa |
| Host/Isotype | Mouse IgG |
| Storage | Store at 4°C short term. Aliquot and store at -20°C long term. Avoid freeze/thaw cycles. |
| Species Reactivity | Human,Rat,Mouse |
| Immunogen | Recombinant Protein of Smad3 |
| Formulation | Liquid in PBS containing 50% glycerol, 0.5% BSA and 0.02% sodium azide, pH 7.3. |
| Application | |
|---|---|
| WB | 1/500-1/1000 |
| IHC | 1/50-1/100 |
![]() |
Western blot analysis of Smad2/3 in C6, MCF-7, Jurkat and 3T3 lysates using Smad2/3 antibody |
![]() |
Immunohistochemical analysis of paraffin-embedded Human tonsils using Smad2/3 antibody.High-pressure and temperature Sodium Citrate pH 6.0 was used for antigen retrieval. |
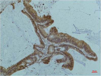
![]() |
Immunohistochemistry analysis of paraffin-embedded Human Live rTissue using Smad2/3 antibody.High-pressure and temperature Sodium Citrate pH 6.0 was used for antigen retrieval. |
本公司的所有产品仅用于科学研究或者工业应用等非医疗目的,不可用于人类或动物的临床诊断或治疗,非药用,非食用。
暂无评论
本公司的所有产品仅用于科学研究或者工业应用等非医疗目的,不可用于人类或动物的临床诊断或治疗,非药用,非食用。
中文



发表回复